こんにちは![]()
今週末はハロウィン!![]()
もう当日を待たずして既に仮装してる人を街でちらほら見かけるようになりました。
ここ数年日本のハロウィンの盛り上がりすごいですよね![]()
![]()
さて今日は、お悩み解消のための眼瞼下垂手術の症例を紹介します![]()
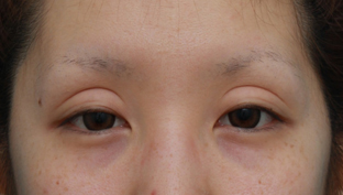
他のクリニックさんで全切開法で二重まぶたにした患者さまです。

目を閉じた状態で、約14mmの位置で切開されていて、大量の脂肪を除去されたためか
目の上がくぼんでしまいました。
目を開けた状態でも、二重の幅が約6mmもあり、メイクをしていない状態だと
不自然な状態になってしまっていました![]()
ご家族やご友人の方から、「これって失敗じゃないの?」などと色々言われてしまううち、
ノイローゼ状態になり、自然な二重に修正したいというご要望でした![]()
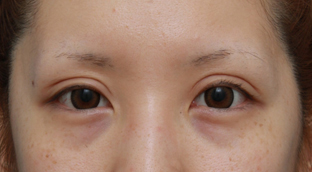
手術は、前回受けた手術の切開線を含めて、まつ毛側の皮膚を約4mmの幅で切除し、
元々眼瞼下垂気味で二重の幅も広かったこともあるため、まぶたの開きを良くして
目を開けた状態で二重の幅が狭くなるように行われました![]()
![]()


結果的に、目を閉じた状態で約11mmの位置に切開線が来て、目を開けた状態で
約3.5mmの二重になりました![]()
前回の手術で、かなり上の方で切開されていて、合わせて大量の脂肪を除去されていたので、
自然に幅広く修正する限界のラインで施術が行われました![]()


こうして並べてみるとなおさら違いがよく分かりますね![]()
まぶたの開きが良くなるだけで明らかに若々しくなるだけでなく、
目に光がよく当たるようになるのでイキイキした印象になりますね![]()
![]()
この方のように、一度整形手術を受けたものの思ったようにいかず悩まれている
患者様は沢山いらっしゃいます。
女性にとってお顔の印象はとても大きく気持ちを左右するものなので、
「もう一生直らないんじゃないか」と絶望的な気持ちになってしまいますが、
他院で受けた施術の修正は可能です![]()
![]()
もちろん初めての整形手術を受けられる方のご要望をかなえる事も![]()
ぜひ、高須クリニックに一度相談にお越し下さい![]()
