垂れ目形成と目尻切開を行った症例写真
対象クリニックアイコンの凡例
- 銀
- :銀座高須クリニック
- 横
- :横浜院
- 名
- :名古屋院
- 栄
- :栄院
- 大
- :大阪院
- 全院
- :全院
- 診療科目
- 目尻切開 / 垂れ目(パンダ目)形成(グラマラスライン/下眼瞼下制術)
Before
After(1ヶ月後)
Before
After(1ヶ月後)
料金
| 垂れ目(パンダ目)形成(グラマラスライン/下眼瞼下制術) | 片目 ¥148,500(税込) |
|
| 両目 ¥275,000(税込) |
|
|
| 高須幹弥医師の場合 片目 ¥192,500(税込) |
|
|
| 高須幹弥医師の場合 両目 ¥385,000(税込) |
銀座 横浜 名古屋 大阪 |
| 目尻切開 | 片目 ¥148,500(税込) |
|
| 両目 ¥275,000(税込) |
|
|
| 高須幹弥医師の場合 片目 ¥192,500(税込) |
|
|
| 高須幹弥医師の場合 両目 ¥385,000(税込) |
全院 |
リスク・副作用・合併症
垂れ目(タレ目,パンダ目)形成(グラマラスライン/下眼瞼下制術)
目尻切開
この症例と同じ診療科目の
症例写真はこちら
目尻切開
料金
| 片目 ¥148,500(税込) |
|
| 両目 ¥275,000(税込) |
|
| 高須幹弥医師の場合 片目 ¥192,500(税込) |
|
| 高須幹弥医師の場合 両目 ¥385,000(税込) |
全院 |
脂肪切除をする場合や埋没法の糸を抜去する場合の費用も含まれております。
| 片目 ¥148,500(税込) |
|
| 両目 ¥275,000(税込) |
|
| 高須幹弥医師の場合 片目 ¥192,500(税込) |
|
| 高須幹弥医師の場合 両目 ¥385,000(税込) |
全院 |
| 片目 ¥148,500(税込) |
|
| 両目 ¥275,000(税込) |
|
| 高須幹弥医師の場合 片目 ¥192,500(税込) |
|
| 高須幹弥医師の場合 両目 ¥385,000(税込) |
全院 |
リスク・副作用・合併症
二重まぶた・全切開法
目頭切開
目尻切開
タレ目を作る手術について説明します。
まず一つは一般的に行われているたれ目形成手術、グラマラスラインの手術です。
下まつ毛のキワを切開して皮膚を2~4mm程度切除することで下睫毛縁が下方に引っ張られてたれ目になります。
また、CPFという上眼瞼の挙筋のような組織に糸をかけて瞼板と縫合することでさらに下方にけん引をします。
下瞼が曲線になるタレ目だと思ってください。
もう一つタレ目感を出す手術として、タレ目尻(目尻切開)、もしくは吊り目矯正という手術があります。こちらの症例写真に適用している施術です。
これはもともとlateral canthopexyという高齢者の下眼瞼の弛緩を修正する手術です。これを応用して下瞼のカーブのラインを一部直線になるように、下外側にけん引して骨膜に固定することでタレ目感を出す手術です。
タレ目尻(目尻切開)で施術した下まぶたは、やや直線的、カーブの少ないたれ目感がでます。
また、この患者様は同時に目頭切開も行っています。
料金
リスク・副作用・合併症
目尻切開
目頭切開
20代女性の患者様で、目元をもっと良くしたいというご要望で来院されました。
ある程度幅のある平行型の二重にして、もっと目を大きくして、目の下のクマも改善させたいというご希望でした。
診察させていただいたところ、まぶたの開きは良いのですが、目の横幅はそれほど大きいわけではありませんでした。
また、二重の幅、形に左右差があり、目の下には眼窩内脂肪の膨らみがあり、クマを強調させていました。
眼瞼下垂手術をする必要はないので、二重まぶた全切開法で二重の幅を広げて平行型二重を作り、目頭切開と目尻切開で目の横幅を広げることになりました。
目の下のクマに対しては、下まぶたの内側から余分な眼窩内脂肪を除去することになりました。
二重まぶた全切開法は、適度に二重の幅が見えるようにデザインし、皮膚切除は行わず、眼窩内脂肪やROOFの切除も行いませんでした。
目頭切開は、寄り目になったりキツい目にならない程度に、Z法で1.5mmずつ内側に広げました。
目尻切開は、できる限り最大限広げ、1.5mmずつ外側に広げました。
術後はご希望通りの平行型二重になり、目の横幅も広がって、目の下のクマも改善しました。
目元の手術を複数行う場合、全て同時に行うこともできるし、日にちを空けて別々に行うこともできます。
同時に行っても別々に行っても、最終的な仕上がりに差が出ることはほとんどありませんが、同時に行うほうが、通院回数が最小限で済むし、ダウンタイムも1回で済むのでご検討いただいています。
料金
| 片目 ¥148,500(税込) |
|
| 両目 ¥275,000(税込) |
|
| 高須幹弥医師の場合 片目 ¥192,500(税込) |
|
| 高須幹弥医師の場合 両目 ¥385,000(税込) |
全院 |
脂肪切除をする場合や埋没法の糸を抜去する場合の費用も含まれております。
| 片目 ¥148,500(税込) |
|
| 両目 ¥275,000(税込) |
|
| 高須幹弥医師の場合 片目 ¥192,500(税込) |
|
| 高須幹弥医師の場合 両目 ¥385,000(税込) |
全院 |
| 片目 ¥148,500(税込) |
|
| 両目 ¥275,000(税込) |
|
| 高須幹弥医師の場合 片目 ¥192,500(税込) |
|
| 高須幹弥医師の場合 両目 ¥385,000(税込) |
全院 |
| 目の下(片目) ¥275,000(税込) |
|
| 目の下(両目) ¥550,000(税込) |
全院 |
リスク・副作用・合併症
二重まぶた・全切開法
目頭切開
目尻切開
目の下(下瞼)の脂肪取り
20代女性の患者様で、つり目で目がややキツく見られるのが悩みでした。
また、目が小さいのも悩んでいらっしゃいました。
この方は、目と目の間隔がそれほど広くないため、目頭切開をすると、キツい目が強調されてしまうことがあるので、目尻切開で目を外側に広げ、同時にたれ目形成をすることになりました。
目尻切開はだいたい1.5mmくらい広げるのが限界なので、MAXまで広げ、たれ目形成は、外反(あかんべーの状態)しないように、約2mm下まぶたの外側を下げました。
たれ目形成と目尻切開を同時に行うと、たれ目形成を単独で行った場合に比べ、たれ目効果が大きくなります。
術後は目が一回り大きくなり、優しい印象の目になりました。
料金
| 片目 ¥148,500(税込) |
|
| 両目 ¥275,000(税込) |
|
| 高須幹弥医師の場合 片目 ¥192,500(税込) |
|
| 高須幹弥医師の場合 両目 ¥385,000(税込) |
銀座 横浜 名古屋 大阪 |
| 片目 ¥148,500(税込) |
|
| 両目 ¥275,000(税込) |
|
| 高須幹弥医師の場合 片目 ¥192,500(税込) |
|
| 高須幹弥医師の場合 両目 ¥385,000(税込) |
全院 |
リスク・副作用・合併症
垂れ目(タレ目,パンダ目)形成(グラマラスライン/下眼瞼下制術)
目尻切開
30代女性の患者様で、つり目を改善して、目を大きくしたいというご要望でした。
診察させていただいたところ、自然で綺麗な末広型二重で、目の開きも非常によく、軽度のつり目をしていました。
目の横幅は特別狭いほうではなく、目と目の間隔も特別離れてはいませんでした。
目を大きくする手術は、眼瞼下垂手術、目頭切開、目尻切開、たれ目形成(グラマラスライン)などがありますが、この患者様の場合、まぶたの開きは充分に良いため、眼瞼下垂手術は適応にならず、また、目頭切開よりも、目尻切開やたれ目形成のほうが適応になるため、目尻切開とたれ目形成をすることになりました。
目尻切開は目尻をW字型に切開し、外側に最大限拡げたところ、約1.5mmずつ拡がり、拡がった分は上下にも拡がるようにしました。
たれ目形成は、下まぶたの黒目より外側の部分が、自然な範囲内で最大限下がるようにし、約2mmずつ下げました。
術後はつり目が改善し、目が一回り大きくなったようになりました。
たれ目形成に目尻切開を加えると、たれ目効果に相乗作用がでるため、ニーズの多い組み合わせ手術になっています。
料金
| 片目 ¥148,500(税込) |
|
| 両目 ¥275,000(税込) |
|
| 高須幹弥医師の場合 片目 ¥192,500(税込) |
|
| 高須幹弥医師の場合 両目 ¥385,000(税込) |
銀座 横浜 名古屋 大阪 |
| 片目 ¥148,500(税込) |
|
| 両目 ¥275,000(税込) |
|
| 高須幹弥医師の場合 片目 ¥192,500(税込) |
|
| 高須幹弥医師の場合 両目 ¥385,000(税込) |
全院 |
リスク・副作用・合併症
垂れ目(タレ目,パンダ目)形成(グラマラスライン/下眼瞼下制術)
目尻切開
垂れ目(パンダ目)形成(グラマラスライン/下眼瞼下制術)
20代男性の患者様で、目を大きくしたいというご要望でした。
診察させていただいたところ、やや幅広めの二重まぶたで、蒙古襞はそれほど張っていませんでした。
また、まぶたの開きも悪くなかったため、二重まぶた手術、眼瞼下垂手術、目頭切開は必要ないと思われました。
そのため、目尻切開とグラマラスライン(タレ目形成)を行うことになりました。
目尻切開は自然な範囲内で最大限広げ、約2mm外側に広がりました。
グラマラスラインは目尻切開で外側に広がった部分を含め、約2mm下方向に広がりました。
手術後はツリ目の印象が改善し、目が大きくなって華やかな印象になりました。
料金
| 片目 ¥148,500(税込) |
|
| 両目 ¥275,000(税込) |
|
| 高須幹弥医師の場合 片目 ¥192,500(税込) |
|
| 高須幹弥医師の場合 両目 ¥385,000(税込) |
全院 |
| 片目 ¥148,500(税込) |
|
| 両目 ¥275,000(税込) |
|
| 高須幹弥医師の場合 片目 ¥192,500(税込) |
|
| 高須幹弥医師の場合 両目 ¥385,000(税込) |
銀座 横浜 名古屋 大阪 |
リスク・副作用・合併症
目尻切開
垂れ目(タレ目,パンダ目)形成(グラマラスライン/下眼瞼下制術)
20代女性の患者様で、二重まぶた手術希望で来院されました。
診察させていただいたところ、右目は奥二重で、左目はわずかに幅が見える末広型二重で、ご覧のように左右差がありました。
また、患者様は、「キツい印象の目を優しい印象にしたい」「少しでも目を大きくしたい」「アイラインを引いても奥二重のようにならず、ちゃんと二重だってわかるように二重の幅を広げたい」「平行型の二重にしたい」というご要望もありました。
二重に関しては、蒙古襞を乗り越えて平行型二重になるように、幅広いラインで全切開して二重を作ることになりました。
幅広いラインで平行型二重を作る場合は、ミニ切開法(部分切開法、小切開法)よりも全切開法のほうがはっきりとした綺麗な二重のラインになるからです。
また、ややキツい印象の目を優しい印象にするために、タレ目形成手術(グラマラスライン、下眼瞼下制術)も同時に行うことになりました。
この患者様の目は、下まぶたのラインが外側にいくにつれ、強く上につり上がっているため、下まぶたのラインの外側を下に下げることにより、目を大きくして優しい印象になります。
二重まぶた全切開法は、眼窩内脂肪をわずかに切除しました。
ROOFはそれほど発達していなかったため、切除しませんでした。
皮膚の切除も行いませんでした。
タレ目形成は、下まぶたの外側のラインが約2mm下がるようにし、下がった分は皮膚が余るので、最大で約4mmの幅で、目の端から端まで皮膚を切除しました。
術後は、平行型二重を作ったことにより優しい印象になって、患者様の希望通り、アイラインを引いても奥二重のようにならず、ちゃんと二重だとわかるようになりました。
また、タレ目形成手術により、目が大きくなって、つり目のキツい印象が改善しました。
料金
| 片目 ¥148,500(税込) |
|
| 両目 ¥275,000(税込) |
|
| 高須幹弥医師の場合 片目 ¥192,500(税込) |
|
| 高須幹弥医師の場合 両目 ¥385,000(税込) |
全院 |
脂肪切除をする場合や埋没法の糸を抜去する場合の費用も含まれております。
| 片目 ¥148,500(税込) |
|
| 両目 ¥275,000(税込) |
|
| 高須幹弥医師の場合 片目 ¥192,500(税込) |
|
| 高須幹弥医師の場合 両目 ¥385,000(税込) |
銀座 横浜 名古屋 大阪 |
リスク・副作用・合併症
二重まぶた・全切開法
垂れ目(タレ目,パンダ目)形成(グラマラスライン/下眼瞼下制術)
20代女性の患者様で、切開法で永久に取れない二重を作ることと、つり目でキツい印象を治したいということでした。
過去に二重まぶた埋没法やアイプチ、アイテープ、メザイクなどを繰り返していたため、まぶたの皮膚がシワシワになって、二重のラインらしき線が何本もでき、不自然になっていました。
二重まぶた全切開法を行い、同時にタレ目形成(グラマラスライン、下眼瞼下制術)を行いました。
二重まぶた全切開法は、アイプチでできたと思われる一番上のラインで切開し、切開ラインよりしたの皮膚を剥離し、内部処理を行うことにより、作る二重のラインの下のラインが消えるようにしました。
入っていた埋没法の糸は全て抜糸しました。
皮膚の切除や眼窩内脂肪、ROOFの脂肪取りはしていません。
タレ目形成は、下まぶたの外側を約2mm下がるようにしました。
完全なタレ目にはなっていませんが、目が大きくなって、つり目のキツい印象が和らいでいます。
タレ目形成でこれ以上下まぶたを下げると、外反してアカンベーの状態になったり、下三白眼になって不自然になることがあります。
料金
| 片目 ¥148,500(税込) |
|
| 両目 ¥275,000(税込) |
|
| 高須幹弥医師の場合 片目 ¥192,500(税込) |
|
| 高須幹弥医師の場合 両目 ¥385,000(税込) |
全院 |
脂肪切除をする場合や埋没法の糸を抜去する場合の費用も含まれております。
| 片目 ¥148,500(税込) |
|
| 両目 ¥275,000(税込) |
|
| 高須幹弥医師の場合 片目 ¥192,500(税込) |
|
| 高須幹弥医師の場合 両目 ¥385,000(税込) |
銀座 横浜 名古屋 大阪 |
リスク・副作用・合併症
二重まぶた・全切開法
垂れ目(タレ目,パンダ目)形成(グラマラスライン/下眼瞼下制術)
料金
| 片目 ¥148,500(税込) |
|
| 両目 ¥275,000(税込) |
|
| 高須幹弥医師の場合 片目 ¥192,500(税込) |
|
| 高須幹弥医師の場合 両目 ¥385,000(税込) |
銀座 横浜 名古屋 大阪 |
リスク・副作用・合併症
垂れ目(タレ目,パンダ目)形成(グラマラスライン/下眼瞼下制術)
20代女性の患者様で、小さい目がコンプレックスで、目を大きくしたいというご要望でした。
診察させていただいたところ、確かに目が小さく、眼球自体が小さい上に、骨格的に眼球の付いている位置が離れている状態でした。
まぶたの開きが良くないため、眼瞼下垂手術を行い、程よくまぶたの開きを改善することになりました。
患者様のご希望もあり、眼瞼下垂手術をする際に平行型二重を作ることになりました。
更に目を大きくするために、目頭切開とタレ目形成手術(グラマラスライン形成)も同時に行うことになりました。
目尻切開も同時に行うと更に目が大きくなるのですが、諸事情により、今回は目尻切開は行わないことになりました。
眼瞼下垂手術の際は、必要最小限の眼窩内脂肪は除去し、皮膚切除やROOF切除は必要がないので行いませんでした。
目頭切開はZ法に準じて行い、目頭の形が程よく尖ったまま2mm弱ずつ目を内側に広げました。
タレ目形成は、下まぶたの黒目の外側を約2mm下方向に下げ、余った下まぶたの皮膚を切除して縫合しました。
術後は一回り目が大きくなりました。
眼瞼下垂手術も目頭切開もタレ目形成も、物理的にはもっと目を大きくすることができるのですが、これ以上行ってしまうと不自然さが強くなって、かえってバランスが悪くなってしまうので、この程度が最善だと思います。
料金
| 片目 ¥148,500(税込) |
|
| 両目 ¥275,000(税込) |
|
| 高須幹弥医師の場合 片目 ¥192,500(税込) |
|
| 高須幹弥医師の場合 両目 ¥385,000(税込) |
全院 |
| 片目(通常の手術の場合) ¥385,000(税込) |
|
| 両目(通常の手術の場合) ¥770,000(税込) |
|
| 片目(筋膜移植の場合) ¥605,000(税込) |
|
| 両目(筋膜移植の場合) ¥990,000(税込) |
全院 |
| 片目 ¥148,500(税込) |
|
| 両目 ¥275,000(税込) |
|
| 高須幹弥医師の場合 片目 ¥192,500(税込) |
|
| 高須幹弥医師の場合 両目 ¥385,000(税込) |
銀座 横浜 名古屋 大阪 |
リスク・副作用・合併症
目頭切開
眼瞼下垂(がんけんかすい)
垂れ目(タレ目,パンダ目)形成(グラマラスライン/下眼瞼下制術)
この症例の診療科目
ページはこちら
この施術を見た方は、以下の施術も見ています
※ 施術方法や施術の流れに関しましては、患者様ごとにあわせて執り行いますので、各院・各医師により異なります。予めご了承ください。
※ ホームページ上で掲載されている価格は税込表示となっております。
※ 当院で行う治療行為は保険診療適応外の自由診療になります。
施術方法は200種類以上
どんなお悩みでも
ご相談ください
当サイトは高須クリニック在籍医師の監修のもとで掲載しております。



担当医:平野正之 医師
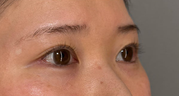
目を目尻切開とタレ目で大きくしたいとのご要望でした。
タレ目手術は結膜側から行っています。
斜めの角度から見ても、自然に可愛く目が大きくなっているのがわかるでしょうか。
目尻の形を比べると目尻切開の効果もよくわかりますね。
タレ目の手術で心掛けているのは、カクッとした、一部分だけ不自然な垂れ目にしないということです。
垂れ具合をうまくコントロールできないと、丸くて美しいグラマラスラインは作れないのです。
ぱっと見では、どこを手術したか分からなくてもなんとなく目が大きく見える。
そのような印象が出るのが大切だと思っています。