症例写真一覧
高須クリニックで治療された方の
症例をご紹介しております。
現在1,760 件の症例写真を掲載しています。
※ 施術方法や施術の流れに関しましては、患者様ごとにあわせて執り行いますので、各院・各医師により異なります。予めご了承ください。
※ ホームページ上で掲載されている価格は税込表示となっております。
※ 当院で行う治療行為は保険診療適応外の自由診療になります。
今月のベスト症例写真
鼻翼基部プロテーゼ(貴族手術)を行った40代女性の症例写真
40代 / 女性
40代女性の患者様で鼻翼基部の窪み、法令線の改善を希望されていました。
診察させていただいたところ、元々やや中顔面が窪みぎみで、それに加えて年齢相応に頬がたるんで法令線が深くなっていました。
鼻翼基部プロテーゼを挿入し、中顔面の陥凹を改善させることになりました。
手術は局所麻酔下に行い、口腔内からの小さな切開で骨膜下を剥離し、4mmの厚みのプロテーゼを挿入・留置しました。
術後は中顔面の陥凹が程よく改善し、バランスが良くなりました。
また、同時に法令線の上部が浅くなり、美しくなりました。
料金
| ¥385,000(税込) |
銀座 横浜 名古屋 大阪 |
リスク・副作用・合併症
鼻翼基部プロテーゼ(貴族手術)
30代女性の重度陥没乳頭を手術で改善させた症例写真
30代 / 女性
30代女性の患者様で、陥没乳頭を治したいというご要望で来院されました。
診察させていただいたところ、両側の乳頭(乳首)が完全に陥没しており、刺激をしても全く出てこない、重症の陥没乳頭でした。
手術は、局所麻酔下に、乳頭の真ん中のくびれている部分を切開し、可能な限り乳管を温存しながら、乳管の周りの結合組織をハサミで縦に割き、引っ込んでいる乳頭を引っ張り出しました。
特に真皮弁を起こすような操作はせず、乳頭基部の真皮を溶ける糸(吸収糸)で縫合した後、乳頭同士も吸収糸で縫合し、表面を細いナイロン糸で縫合しました。
術後は陥没していた乳頭が綺麗に出て、バランスの良いバストになり、後戻りも起きていません。
また、乳管を可能な限り温存したため、今後、妊娠、出産、授乳することがあっても、授乳時に母乳を出すことができます。
この方のように重度の陥没乳頭だと、バランスが悪く、見た目も美しくない上に、垢が溜まりやすく、乳頭炎を繰り返すこともあるので、手術で治してあげるのが良いと思います。
料金
| 片方 ¥275,000(税込) |
全院 |
リスク・副作用・合併症
ピコレーザー(PicoWay)の症例をご紹介します。
ピコレーザーは、シミ・そばかす・肝斑・ニキビ痕など肌の悩みの解決に、従来のレーザー治療に代わって用いられることの多い施術です。
ピコレーザー照射後、頬全体に広がっていた薄いシミが均一に改善し、肌全体のトーンが明るくなりました。
ダウンタイムも少なく、治療後はメイクのりも向上することが期待されます。
こんなお悩みをお持ちの方へ
・シミ・そばかすが気になる
・薄いシミや多色のタトゥーにも対応できる
・短い照射時間で治療可能
・施術時の痛みやダウンタイムが少ない
・肌のエイジングケアも期待できる
高須クリニックでは、しっかりとシミの状態を診察し患者さまに合った治療方法をご提案しています。
シミでお悩みの方は是非高須クリニックにご相談ください。
料金
| 1箇所1回 1cm×1cm ¥11,000(税込) |
|
| 1箇所1回 3cm×3cm ¥55,000(税込) |
|
| 両頬(目立つシミすべて) 1回目¥110,000(税込) 2回目以降¥88,000(税込) |
|
| 目から下 1回目¥165,000(税込) 2回目以降¥132,000(税込) |
|
| 全顔(まぶた以外) 1回目¥220,000(税込) 2回目以降¥176,000(税込) |
|
| 全顔(まぶた含む) 1回目¥275,000(税込) 2回目以降¥220,000(税込) ※コンタクトシェル使用 |
|
| 両手の甲(目立つシミすべて) 1回¥55,000(税込) |
全院 |
| 顔のピコトーニング 1回¥27,500(税込)10回¥220,000(税込) (通常価格¥275,000(税込)) |
全院 |
| 顔のピコトーニング(ナース施術) 1回¥13,200(税込)10回¥110,000(税込) (通常価格¥132,000(税込)) |
全院 |
| 乳輪のピコトーニング 1回¥11,000(税込)10回¥88,000(税込) (通常価格¥110,000(税込)) |
銀座 横浜 栄 大阪 |
| 背中のピコトーニング(ナース施術)(上部or下部) 1回¥39,600(税込) |
銀座 横浜 栄 大阪 |
| 背中美人 美肌セット(ナース施術) ミラノリピール(上部or下部)&ピコトーニング(上部or下部)セット価格 ¥55,000(税込) |
銀座 横浜 栄 |
※ピコトーニングに加えて、ケアシス(エレクトロポレーション)を施術希望の場合は、ケアシス(エレクトロポレーション)がセット価格でお受け頂けます。
リスク・副作用・合併症
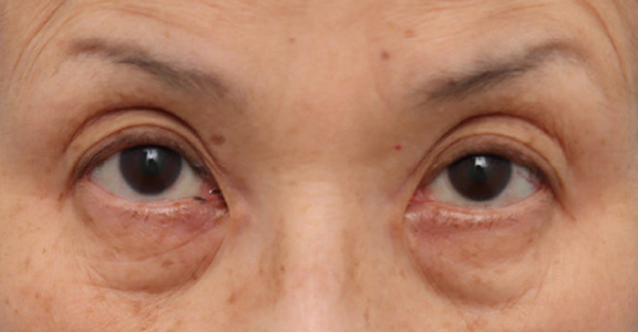
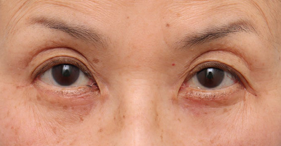
目の下のたるみ・黒クマに対して表ハムラ法を行った70代女性の症例写真
70代 / 女性
70代女性の患者様です。
長年目の下のたるみや黒クマが気になっている。老けて見える印象を改善したい。
また、涙袋の立体感を維持して自然で若々しい印象にしたい、と希望されていました。
術前の診断では、下記が見られました。
・下眼瞼脂肪突出(眼窩脂肪ヘルニア)
・皮膚の弛緩
・軽度の骨萎縮(眼窩縁・頬部)
・涙袋(眼輪筋前方ボリューム)の減少
(70代では皮膚の弾力低下と脂肪の隔膜(septum orbitale)の脆弱化により、 脂肪が前方に突出して「膨らみ+くぼみ(陰影クマ)」が強調されることが多いです。)
こちらの患者様には、脂肪注入なしで外科的処置による施術となる「表ハムラ法(Transcutaneous Hamra technique)」を行いました。
1.下まつげ下1~2mmの切開線を設定。
2.眼輪筋下で剥離し、眼窩脂肪3コンパートメントを露出。
3.脂肪を切除せず、骨膜下へ再配置(リポジショニング)。→眼窩下縁(tear trough~頬骨上)を滑らかに補正。
4.余剰皮膚を適度に切除し、眼輪筋・皮膚を丁寧に縫合。
5.同時に、涙袋形成(眼輪筋形成)を調整。
Afterの写真は1ヶ月後のものですが、この施術のダウンタイムはまだ6ヶ月程度はかかります。
料金
| 表ハムラ法(両目) ¥770,000(税込) |
|
| 裏ハムラ法(両目) ¥770,000(税込) |
銀座 横浜 名古屋 大阪 |
リスク・副作用・合併症
表ハムラ・裏ハムラ法
その他の症例写真
鼻翼縮小の症例です。
鼻の穴を小さくする[内側法]と、外側に出っ張った鼻翼を小さくする[外側法]を併用。
オペ3ヶ月後までの経過になります。
目立たない箇所を切開するため、オペ1週間後の抜糸をしたあとはほぼ傷が目立ちません。
患者様の鼻の状態と、理想の形から一人ひとりのバランスに合わせて最適なデザイン、術法をご提案いたします。
気になる方は是非、高須クリニックでお待ちしております。
料金
| ¥385,000(税込) |
全院 |
リスク・副作用・合併症
鼻翼縮小(小鼻縮小)
鼻翼縮小術を施行された患者様が来院してくださいましたので、術後6ヶ月の経過をご紹介します。
もともとそこまで大きくない鼻ですが、やりすぎない範囲で小さくなり、存在感が減っているように思います。
また、切開をする施術なので、まったくキズがなかったことにはならないですが、ほとんど目立たないと思います。
料金
| ¥385,000(税込) |
全院 |
リスク・副作用・合併症
鼻翼縮小(小鼻縮小)
人中短縮術と鼻翼縮小術を施行された患者様が来院してくださいましたので、術後6ヶ月の経過をご紹介します。
人中短縮術をすると、鼻翼が広がりやすくなるので、やりすぎない範囲で鼻翼縮小をご提案しました。
目隠しなのでわかりづらいですが、バランスが良くなり、キズはほとんど目立たないと思います。
では、なぜバランスが良くなったように見えるのでしょうか。
鼻の下の端から、口までの距離と口から顎の先までの比率を比べてみました。
この比が1.8~2.0ぐらいが良い値とされていますので、今回は人中を短縮することで、よい比率に近づけられたのかなと思います。
料金
リスク・副作用・合併症
鼻の下を短く(上口唇短縮手術、上口唇リフト、リップリフト、人中短縮術)
鼻翼縮小(小鼻縮小)
上下口唇を薄く(口唇縮小術)を施行された、患者様が来院してくださいましたので、術後6ヶ月の経過をご紹介します。
上口唇、下口唇ともに厚い状態でしたので、口唇縮小術をお勧めしました。
また、鼻の横幅に比べて口の横幅が狭く、そのことも口唇が厚く見えている要因と考えましたので、鼻翼縮小術もお勧めしました。
口唇はやりすぎない範囲で薄く出来たかと思います。
口唇も鼻もほとんどキズはわからないようになっていると思います。
料金
リスク・副作用・合併症
唇を薄く(口唇縮小術)
鼻翼縮小(小鼻縮小)
鼻翼縮小の症例写真
40代 / 男性
鼻翼縮小を受けていただいたの患者様が来院してくださいましたので、術後半年の経過をご紹介します。
患者様は40代半ばの男性の方です。
鼻翼が縮小しているのがわかると思いますが、キズをあおりで見てもほとんどわからない感じになっていると思います。
料金
| ¥385,000(税込) |
全院 |
リスク・副作用・合併症
鼻翼縮小(小鼻縮小)
鼻翼縮小と鼻先への耳介軟骨移植の同時手術を行った症例写真
20代 / 女性
患者様は、20代女性。
小鼻の広がりと鼻の穴が気になること、また以前に鼻プロテーゼの手術を受けており、鼻筋の高さは良いけれども、鼻先の高さが欲しいというご希望でした。
もともと特別鼻の穴が目立っていたり、鼻の穴が大きいという方ではありませんが、より美しい形になりたいというご希望と、プロテーゼによって鼻筋がきれいなため、それにさらに似合う鼻先の高さになりたいというご希望でした。
耳介軟骨移植の傷は鼻の穴の中にあるため、目立ちません。
鼻翼縮小の傷は、小鼻の傷に一致しており、数ヶ月経つとほとんど分からなくなります。
それまでの期間も、抜糸をした翌日からお化粧をして構いませんので、隠すことができます。
鼻翼の横幅は小さく締まって、鼻先も自然に高さが出ております。
手術前に比べて、お顔の立体感が増して、お鼻は引き締まり、より美しい表情になりました。
料金
リスク・副作用・合併症
鼻翼縮小(小鼻縮小)
耳介軟骨移植(鼻先を出す)
小鼻縮小の症例写真
20代 / 女性
患者様は、20代女性。
小鼻の横方向の広がりが気になるというので改善されたいというご希望でした。
診察させていただくと、小鼻の若干の横への広がりが目立っており、小鼻縮小の手術をご提案させて頂きました。
小鼻の横方向への広がりが若干大きく、鼻の穴が少し強調された見た目となっております。
鼻の穴の中から、外側の途中の部分まで約6mmの幅で小鼻の皮膚切除を行いました。
小鼻の横への広がりは改善しており、引き締まった印象になっています。
鼻の穴も小さくなりました。
正面視だけでなく、下からのあおりの角度でも、小鼻は縮小され、鼻の穴はすっきりと目立ちにくくなっております。
大きく口を開けて口角を上げて笑顔になった時にも、小鼻の広がりが改善されているため、お顔の表情に締まりが出ることが期待されます。
料金
| ¥385,000(税込) |
全院 |
リスク・副作用・合併症
鼻翼縮小(小鼻縮小)
小鼻が広がっているのを気にされて来院された女性です。診察させていただくと、鼻自体はそれほど大きくないものの、顔全体のバランスを考えるとやや鼻の穴の大きさと小鼻の広がりが目立つように感じられました。そのため、鼻の穴を小さくすると同時に、小鼻の張り出しを改善させる手術の提案をしました。
小鼻の外側を切開する場合、溝に沿って切開するため、傷跡は溝とほとんど同化して分かりにくくなります。ただし必要以上に鼻の穴を小さくしようとして、たくさんの皮膚や皮下組織を切除してしまうと、小鼻の丸みがなくなり、不自然な形の鼻になってしまうので、正しいデザインで手術することが重要です。
料金
| ¥385,000(税込) |
全院 |
リスク・副作用・合併症
鼻翼縮小(小鼻縮小)
この患者様は小鼻が横に広がり、鼻の穴が強調されて見えてしまうことを気にされていました。顔の中での鼻の存在感をやや薄くするため、小鼻を縮小し、やさしい顔立ちにする小鼻縮小を行う提案をしました。
手術では横に広がった小鼻を鼻全体とのバランスを調整しながら、丁寧に縫い縮めていきます。溝に沿って切開をするので傷跡は溝と同化して見みえるようになります。
手術後は横に広がり、強調されていた鼻の穴は目立ちにくく、小鼻もすっきりとみえるようになりました。
料金
| ¥385,000(税込) |
全院 |
リスク・副作用・合併症
鼻翼縮小(小鼻縮小)
鼻先に耳介軟骨移植を行った30代女性の症例写真
30代 / 女性
30代女性の患者様で、鼻先の形を整えたいというご要望でした。
診察させていただいたところ、鼻先の皮膚はやや厚めですが、鼻先の軟骨はそれほど発達していませんでした。
鼻先はやや潰れ気味で、やや上向きでした。
患者様とカウンセリングでコンピューターシミュレーションしながらお話ししたところ、鼻先の耳介軟骨移植をすることになりました。
手術は局所麻酔下に行い、片側の耳の穴の中から採取した外耳道軟骨を鼻先に移植し、鼻先が斜め下方向を向くようにしました。
手術後は上を向いていた鼻先が目立たなくなり、それに合わせて団子鼻っぽい印象も改善し、バランスの良い鼻先になりました。
料金
| ¥385,000(税込) |
全院 |
リスク・副作用・合併症
耳介軟骨移植(鼻先を出す)
ミディアムフェイスリフト+人中短縮+鼻柱への耳介軟骨移植を行った症例写真
40代 / 女性
40代女性の患者様で、顔のたるみと鼻の下が長いことを気にされていました。
診察させていただいたところ、頬~フェイスライン~顎下が年齢相応にたるんでいました。
鼻の下が長いのも目立っていましたが、これは、鼻柱が奥に引っ込んでいることと、元々鼻の下が長いのと、加齢によって鼻の下がたるんで伸びたことによるものと思われました。
ミディアムフェイスリフト+人中短縮手術+鼻柱への耳介軟骨移植を行いました。
手術後は、目立っていた頬~フェイスライン~顎下のたるみがリフトアップしたことによりすっきりしました。
また、鼻柱への耳介軟骨移植により鼻の形のバランスが良くなったことと、人中短縮手術の効果も相まって、バランスがよくなり美しくなりました。
料金
| ミディアムフェイスリフト ¥990,000(税込) |
|
| 高須幹弥医師の場合 ミディアムフェイスリフト ¥1,100,000(税込) |
銀座 横浜 名古屋 大阪 |
| ¥385,000(税込) |
銀座 横浜 名古屋 大阪 |
| ¥385,000(税込) |
全院 |
リスク・副作用・合併症
ミディアムフェイスリフト
鼻の下を短く(上口唇短縮手術、上口唇リフト、リップリフト、人中短縮術)
耳介軟骨移植(鼻先を出す)
20代女性の患者様で、鼻の下が長いのを改善したいとのことでした。
診察させていただいたところ、骨格的に中顔面が長いこともあり、平均より鼻の下が長いように見えました。
また、鼻柱が奥に引っ込んでおり、そのことにより余計に鼻の下が長く見えていました。
この2つを解決するため、人中短縮手術(リップリフト)と鼻柱への耳介軟骨移植をすることになりました。
人中短縮は鼻柱基部と鼻の穴の中を通る切開で約5mmの幅で皮膚を切除し、丁寧に縫合しました。
耳介軟骨移植は、鼻柱が下方向に出るように、安全で自然な範囲内で行いました。
手術後6ヶ月には、ほぼ完全に腫れは引き、手術前に非常に長かった鼻の下はかなり短く見えるようになりました。
この患者様のように鼻の下が非常に長い人に対しては、人中短縮手術と鼻柱への耳介軟骨移植を行うことが有用になることが多いです。
料金
リスク・副作用・合併症
鼻の下を短く(上口唇短縮手術、上口唇リフト、リップリフト、人中短縮術)
耳介軟骨移植(鼻先を出す)
20代女性の患者様で、鼻の形を整えたいというご要望でした。
診察させていただいたところ、全体的な顔立ちは日本人特有の凹凸の少ないのっぺりとした平らな顔をしており、丸顔の輪郭でした。
鼻は特別大き過ぎることもなく、高すぎることもありませんでした。
目立つ団子鼻でもなく、小鼻が横に広がっていたり、鼻の穴が大きくて目立つこともなかったので、鼻尖縮小や小鼻縮小の適応もありませんでした。
鼻先がやや低くて潰れて上に上がっており、鼻柱も奥に引っ込んでバランスが悪かったので、まずは鼻先と鼻柱の2ヵ所に耳介軟骨移植をすることになりました。
採取する耳介軟骨は、片側の外耳道(耳の穴の中)から十分な量を取ることができました。
鼻先は斜め下方向に出るように軟骨を移植し、鼻柱は下方に出るように移植しました。
手術後は、鼻尖(鼻先)、鼻翼(小鼻)、鼻柱の位置関係が良くなり、全体的なバランスが改善しました。
料金
| ¥385,000(税込) |
全院 |
リスク・副作用・合併症
耳介軟骨移植(鼻先を出す)
鼻柱に耳介軟骨移植を行い、鼻の下の人中が長いのを目立たなくした症例写真
20代 / 女性
20代女性の患者様で、鼻の下が長く、人中が目立っているのが悩みとのことでした。
診察させていただいたところ、確かに若干鼻の下が長めではあり、鼻の下の窪みである人中が多少目立ち気味ではありました。
鼻の下を短くする手術としては、鼻の下で皮膚を切除して縫合する上口唇リフト(人中短縮手術)があります。
ただし、上口唇リフトは傷跡が目立ちやすい、鼻の穴が縦に伸びて目立つようになる、ガミースマイルが悪化するなどのリスク、副作用があり、それらのことを患者様にお話ししたところ、上口唇リフトはせず、鼻柱への耳介軟骨移植をすることになりました。
鼻柱が下方向に長くなるように、鼻の穴の中から耳介軟骨を移植し、相対的に鼻の下が短く見えるデザインで手術しました。
手術後は程よく自然な範囲内で鼻の下が短く見えるようになりました。
料金
| ¥385,000(税込) |
全院 |
リスク・副作用・合併症
耳介軟骨移植(鼻先を出す)
20代女性の患者様で、鼻先の形を整えたいというご要望で来院されました。
診察させていただいたところ、中等度の団子鼻であり、正面から見たときの鼻先の横幅が広い状態でした。
また、鼻先がやや上に向いており、尚且つ、小鼻が横に広がって、鼻の穴が大きく目立っていました。
この患者様の鼻を手術で全体的に整えて、バランスをよくするためには、鼻尖縮小(鼻尖形成)+小鼻縮小(鼻翼縮小)+鼻先の耳介軟骨移植が必要ですが、諸事情により、鼻先の耳介軟骨移植のみをモニターで行うことになりました。
鼻先が上に向いており、正面から見て鼻の穴が目立っている印象が強かったため、なるべく鼻先が下に向くようにデザインしました。
右の外耳道(耳の穴の中)から採取した耳介軟骨を、短冊状にカットし、持針器でクラッシュした砕片耳介軟骨を右の鼻の穴の中の小切開から鼻先に移植しました。
正面から見ても側面(横)から見てもバランスの良い鼻先になるように、鼻先が斜め下方向に出るように丁寧に移植しました。
術後は、上に上がっていた鼻先が程よく自然な範囲内で斜め下方向に伸び、正面から見ても側面から見てもバランスの良い鼻先になりました。
また、正面から見て、鼻先が下に下がったことにより、鼻先が上がって鼻の穴が目立っている印象が、あまり感じなくなりました。
この患者様は、この後、鼻尖縮小や小鼻縮小をすると、更にバランスの良い美しい鼻になります。
耳介軟骨移植をした後でも、鼻尖縮小や小鼻縮小をすることは可能です。
私に関しては、耳介軟骨移植をした後、いつでも小鼻縮小をすることが可能です。
鼻尖縮小は、耳介軟骨移植をしてから1ヶ月経過すればできることが多いです(ケースバイケースですが)。
もちろん、耳介軟骨移植と小鼻縮小と鼻尖縮小を同時に行うことも可能です。
料金
| ¥385,000(税込) |
全院 |
リスク・副作用・合併症
耳介軟骨移植(鼻先を出す)
20代女性の患者様で、丸い鼻先を気にされて来院されました。
診察させていただいたところ、鼻先の皮膚はそれほど厚くないのですが、鼻先の軟骨が小さく、それほど発達していませんでした。
そのため、鼻先が丸く、潰れたような形をしており、やや上に上がっていました。
丸い鼻先を細くし、出したいというご要望でしたので、鼻先に耳介軟骨移植をすることになりました。
手術は、側の耳の穴の中から耳介軟骨を採取し、細かく砕いた後、右の鼻の穴の中から鼻先に移植し、鼻先が斜め下方向に出るようにました。
術後は、鼻先が3mm程度斜め下方向に出て、上品で自然な鼻先になりました。
今回は安全な範囲内、自然な範囲内で鼻先を出しました。
この患者様の鼻に、これ以上無理して耳介軟骨移植で鼻先を出したり、鼻中隔延長術で鼻先を出すと、だんだん鼻先皮膚が薄くなり、軟骨の輪郭が浮き出てくる可能性が高いです。
この患者様に関しては、無理な手術はしていないので、将来、鼻先の皮膚が薄くなって、軟骨の輪郭が浮き出たり、不自然になることはまずありません。
料金
| ¥385,000(税込) |
全院 |
リスク・副作用・合併症
耳介軟骨移植(鼻先を出す)
耳介軟骨移植で鼻先を斜め下方向に出した症例写真
20代 / 女性
20代女性の患者様で、鼻先が上に上がり気味なことを気にされてました。
診察させていただいたところ、やや鼻先が上がり気味であり、それによって、正面から見て鼻の穴が見えるのが強調されていました。
鼻先に耳介軟骨移植をして、鼻先を斜め下方向に出すことになりました。
術後は鼻先が約3mm斜め下方向に延び、鼻先が上に上がっているのが目立たなくなりました。
また、正面から見て鼻の穴が見えるのが強調されなくなりました。
鼻先を安全な範囲内で出すのはこの程度が良いです。
これ以上耳介軟骨移植で鼻先を出したり、鼻中隔延長術で鼻先を出すと、将来的に鼻先の皮膚が薄くなり、軟骨の輪郭が浮き出て不自然になるリスクがあります。
料金
| ¥385,000(税込) |
全院 |
リスク・副作用・合併症
耳介軟骨移植(鼻先を出す)
鼻先と鼻柱基部(鼻柱の付け根)に耳介軟骨移植をした症例写真
20代 / 女性
20代女性の患者様で、鼻先を出したいという御要望でした。
診察させていただいたところ、鼻先があまり出ていないというのもありましたが、鼻柱基部(鼻柱の付け根の部分)が奥に引っ込んでいて、少しバランスの悪い鼻でした。
手術は、鼻先に耳介軟骨移植を行い、鼻先を斜め下方向に約3mm出し、同時に鼻柱基部にも耳介軟骨移植を行い、引っ込んでいる鼻柱基部を下方向に下げました。
術後はバランスの良い整った鼻になりました。
料金
| ¥385,000(税込) |
全院 |
リスク・副作用・合併症
耳介軟骨移植(鼻先を出す)
耳介軟骨移植で鼻先を斜めした方向に出した症例写真
20代 / 女性
20代女性の患者様でやや鼻先が上に上がっているので、鼻先を下方向に出したいというご要望でした。
鼻中隔延長をしなくてはならないほどではなかったので、リスクの少ない耳介軟骨移植をすることになりました。
耳の穴の中から、約15×15mmの軟骨を採取し、鋏で細かく切り刻んだ後、持針器で潰して可能な限り滑らかにして、鼻の穴の中から、鼻先が斜め下方向に出るように移植しました。
術後は鼻先が斜め下方向に約3mm出て、術前に比べ、より上品な鼻になりました。
料金
| ¥385,000(税込) |
全院 |
リスク・副作用・合併症
耳介軟骨移植(鼻先を出す)
20代女性の患者様で、ダンゴ鼻を治したいというご要望でした。
診察させていただいたところ、鼻先の軟骨である大鼻翼軟骨が横に大きく張っており、その上に分厚い皮膚が覆い被さって、ダンゴ鼻になっていました。
また、横から見ると、鼻先が潰れており、余計にダンゴ鼻が強調されていました。
鼻尖形成(鼻尖縮小)と鼻先の耳介軟骨移植をすることになりました。
鼻尖縮小は、両側の鼻の穴の中から、大きく余計に張り出している大鼻翼軟骨の頭側を切除し、大鼻翼軟骨上の皮下脂肪も合わせて切除しました。
左右の大鼻翼軟骨の間の脂肪をとって、軟骨同士を糸で結び合わせるといった操作は、このような鼻に対して行うと、正面から見て細くなったが、横から見ると鼻先が丸くなって大きくなるというパロットノーズ変形、ポリビーク変形が生じるので行っていません。
耳介軟骨は片側の外耳道から採取し、持針器でクラッシュし、鼻先が斜め下方向に出て、軽く尖った感じになるようにオンレイしました。
術後は、正面から見て程よく鼻先が細くなり、側面から見て鼻先が軽く出た状態になりました。
この患者様の鼻先の皮膚は厚いので、元々鼻先の皮膚が薄い人のような細く尖った鼻先を作ることは不可能です。
いくら鼻の内部の軟骨を操作して細くしても、その上に分厚い皮膚が被さるため、効果に限界があるからです。
鼻先の皮膚を少しでも薄くするように軟骨と合わせて皮下脂肪も切除するのですが、それでも限界があります。
そのような場合、無理して皮膚を薄くしようとすると、最悪皮膚が壊死してしまうこともあるため、この患者様のように、大鼻翼軟骨と軟骨上の皮下脂肪を切除し、鼻先に軽く耳介軟骨移植するのがリスクもなく安全です。
料金
リスク・副作用・合併症
鼻尖形成(鼻尖縮小・だんご鼻・団子鼻・ブタ鼻・豚鼻修正)
耳介軟骨移植(鼻先を出す)
施術方法は200種類以上
どんなお悩みでも
ご相談ください
当サイトは高須クリニック在籍医師の監修のもとで掲載しております。


