二重まぶた埋没法で幅が広めの末広型二重を作った症例写真
- 年代 / 性別
- 20代 / 女性
- 診療科目
- 二重まぶた・埋没法
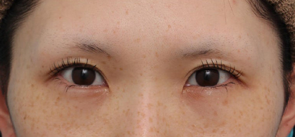
Before
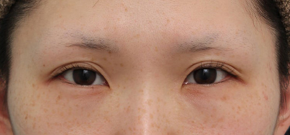
After(3ヶ月後)
After(3ヶ月後の目を閉じた状態)
Before
After(3ヶ月後)
料金
| 二重まぶた・埋没法 | 片目 ¥55,000(税込) |
|
| 両目 ¥99,000(税込) |
全院 |
| 二重まぶた・埋没法(二針固定) | 片目 ¥99,000(税込) |
|
| 両目 ¥187,000(税込) |
全院 |
リスク・副作用・合併症
二重まぶた・埋没法
術後の経過
■術後の経過:正面
手術前
手術前です。
埋没法で幅が広めの末広型二重を作ることになりました。
手術直後
手術直後です。
局所麻酔注射の影響もあり、腫れているので、予定より二重の幅が広くなっています。
手術直後の目を閉じた状態です。
針穴が少し窪んでいますが、必ず平らになるので心配ありません。
5日後
5日後です。
だいぶ腫れは引いて落ち着きましたが、まだ腫れはあります。
5日後の目を閉じた状態です。
ほぼ平らになっています。
3週間後
3週間後です。
かなり腫れは引きましたが、まだわずかな腫れはあります。
3週間後の目を閉じた状態です。
完全に平らになっています。
3ヶ月後
3ヶ月後です。
ほぼ完全に腫れは引き、完成です。
3ヶ月後の目を閉じた状態です。
跡はわかりません。
■術後の経過:斜め
手術前
手術前です。
手術直後
手術直後です。
5日後
5日後です。
3週間後
3週間後です。
3ヶ月後
3ヶ月後です。
この症例と同じ診療科目の
症例写真はこちら
この症例の診療科目
ページはこちら
この施術を見た方は、以下の施術も見ています
※ 施術方法や施術の流れに関しましては、患者様ごとにあわせて執り行いますので、各院・各医師により異なります。予めご了承ください。
※ ホームページ上で掲載されている価格は税込表示となっております。
※ 当院で行う治療行為は保険診療適応外の自由診療になります。
施術方法は200種類以上
どんなお悩みでも
ご相談ください
当サイトは高須クリニック在籍医師の監修のもとで掲載しております。




担当医:高須幹弥 医師
診察させていただいたところ、ほぼ奥二重の状態だったのですが、アイプチやアイテープを常用しているためか、左目は浅くて弱い二重のラインがなんとなくある状態でした。
患者様は、幅が広めの末広型二重を希望されており、まずは切開法ではなく、埋没法で希望されていました。
幅が広めの末広型二重を作るため、蒙古襞の中に目頭側の二重のラインが入るようにデザインし、その範囲内で出来る限り幅が広くなるように、埋没法で二重のラインを作りました(あと少しでも二重の幅を広げると平行型になってしまいます)。
術後はご希望通りの幅が広めの末広型二重になりました。
元々あった奥二重のラインよりもだいぶ二重の幅を広げたため、奥二重のラインは完全には消えず、目尻側は埋没法で作った二重のラインの下に奥二重のラインが残り、ラインが二又になりました。
全切開法で行えば、新たに作る二重のラインの下の元々のラインをだいぶ消すことができるため、二又になったり三重になることはほとんどありません。