二重まぶた・埋没法の術式について

当院の二重まぶた・埋没法は、一般的に行われている埋没法より取れにくく、目を閉じた状態で、糸玉が浮き出て目立ったり、跡が目立つことはありません。術式について解説させていただきます。
当院の二重まぶた・埋没法は、一般的に行われている埋没法より取れにくく、目を閉じた状態で、糸玉が浮き出て目立ったり、跡が目立つことはありません。術式について解説させていただきます。
特徴その1特殊な技術と特許取得の極細専用手術糸を使うため、
一般的に行われている埋没法より取れにくい!
一般的な埋没法では通常、二重ライン上の1(or2)ヶ所を糸で留めて二重のクセをつけます。これに加えて当院では、高度な技術で、まぶたの二重ラインの内側に専用の細い糸を通します。
説明図のように、一般的な埋没法が1(or2)点だけで留めるのに対し、当院で採用している方式は2点の間を無数の点(青部分)で固定します。
通常の1点・2点止め、また4点・6点止めよりも取れにくく、元に戻りにくい安定した二重ラインになるのです。

特徴その2目を閉じた状態で、
糸玉が浮き出て目立ったり、跡が目立たない。

一般的に行われている点で留める方法は「結節法」とも呼ばれ、皮膚の表面側で糸を結んだ後、糸玉が皮膚の中に沈みにくく、術後に目を閉じた状態で糸玉が透けて見えたり、浮き出て見えて、不自然に目立ってしまうことがあります。
また、まぶたの裏で糸を結んで、まぶたの裏に糸玉を埋め込むという方法もありますが、この場合、まぶたの裏に糸玉がが出てきて、眼球を傷つけたり、異物感が残るなどのリスクが高くなります。
まぶたの断面図

-
埋没法について
一針固定と二針固定の違い
- ①まぶたのたるみが多く、皮膚が被さっている方
- ②脂肪が多く、まぶたの皮膚が分厚い方
- ③幅広めの二重を作りたい方
- ④目頭側もしっかりとした幅のある平行型二重 を作りたい方
通常の埋没法で行うよりも、より強固に、安定した二重のラインを作ることができる二針固定のほうが適していることがあります。
二針固定は、埋没法では糸が緩んで元に戻りやすいまぶたの人や目頭側まで二重の幅を作りたい人、平行型二重を作りたい人のために開発された方法で、目頭側と目尻側にそれぞれ従来の埋没法を行うため、二重のラインをしっかりと作ることができます。
この方法は、一般的に行われている「2点留め」とは違い、2ヶ所を点で留めるのではなく、2ヶ所を線で固定するため、「2点留め」「3点留め」「4点留め」などの方法よりも糸が緩みにくく、幅が狭くなったり、元に戻りにくい方法です。
-
一針固定法
-
二針固定法
二針固定法を使った症例
-
1.皮膚のたるみが多い場合
-
2.皮膚や脂肪が分厚い場合
-
3.幅広い二重を埋没法で作る場合
| 平成11年 |
|
|---|---|
| 平成11年 ~平成13年 |
|
| 平成13年 |
|
| 平成14年 |
|
| 平成15年 |
|
| 平成17年 |
|
| 平成19年 |
|
このコラムを見た方は、以下のコラムも見ています
※施術方法や施術の流れに関しましては、各院・各医師により異なります。予めご了承ください。
※ホームページ上で掲載されている価格は税込表示となっております。
※当院で行う治療行為は保険診療適応外の自由診療になります。
※インバウンドの方の施術料金は通常料金とは異なります。詳しくはお問い合わせ下さい。
当サイトは高須クリニック在籍医師の監修のもとで掲載しております。



















































担当医からのコメント
⾼須 幹弥 医師
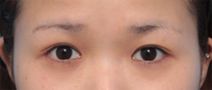
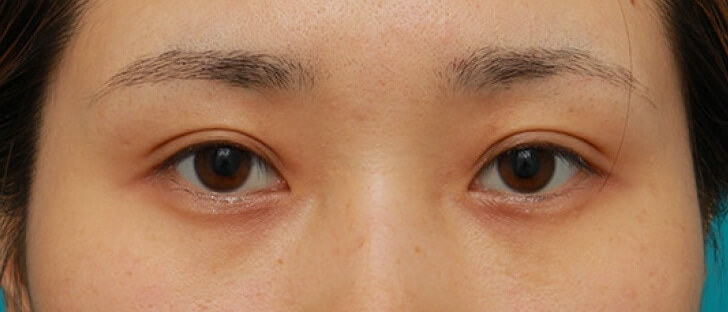
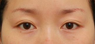
20代の女性患者様で、普段アイプチをしており、そのせいでまぶたの皮膚が被れ、皮膚が厚ぼったくなり、まぶたのシワが増えてしまっていました。
まぶたが被れている人は、まぶたを掻く癖があることが多い上、皮膚が厚ぼったくなっていたため、埋没法ではいつか戻ってしまう可能性が高く、ミニ切開法をご提案したのですが、ダウンタイムが取れないなどの理由で、埋没法をすることになりました。
普段のアイプチは、目を閉じて約6mmのところで二重を作っていたので、埋没法も同じところで行いました。
元々蒙古襞の形に左右差があったため、右が微妙な平行型になり、左は末広型になりました。
埋没法は、普段アイプチをしているところで行うと、比較的戻りにくいです。
逆に広げてしまうと、戻りやすいのであまりお勧めではないです。
二重まぶた・埋没法料金
片目 ¥55,000(税込) / 両目 ¥99,000(税込) 【全院】二重まぶた・埋没法(二針固定)料金
片目 ¥99,000(税込) / 両目 ¥187,000(税込) 【全院】二重まぶた・埋没法リスク・副作用・合併症
腫れ内出血(術後)仕上がりの左右差(片目ずつ手術をする場合)仕上がりのわずかな左右差(完璧なシンメトリーは不可)仕上がりが完璧に自分の理想の形にならないことがある二重のラインが弱くなって浅くなったり、幅が狭くなったり、二重のラインがなくなる可能性※施術後(After)のメイクあり写真について
女性の目もとの施術はメイクをすることを前提に行うことが多くなっております。
そのため、当院ではこれから施術を受けていただく方への参考として、メイクをしていない施術前後(Before/After)の写真のほか、 施術後(After)のメイクをしている写真も掲載しております。