
注射で応えてくれる
申し訳ございません。指定いただいたページが存在しないか、
ページが削除されている可能性があります。
高須クリニックトップページより、目的のページをお探しください。
高須クリニックのトップページはこちらです
※施術方法や施術の流れに関しましては、各院・各医師により異なります。予めご了承ください。
※ホームページ上で掲載されている価格は税込表示となっております。
※当院で行う治療行為は保険診療適応外の自由診療になります。
※インバウンドの方の施術料金は通常料金とは異なります。詳しくはお問い合わせ下さい。
そもそもボツリヌストキシンって何?
神経に働きかけて、筋肉の動きを抑える薬剤です。
ボツリヌストキシンは、自然界に広く分布するボツリヌス菌から産生されています。この菌には神経の働きを麻痺させて筋肉の動きを抑える作用があります。筋肉は神経伝達物質によって動くのですが、この放出を止めることで筋肉が動きにくくなるのです。
麻痺させる、止めるなどというと身体に何か悪影響があるのでは?と心配される方もいますが、美容目的で使用するボツリヌストキシンはごく少量なので、正しい用法・用量を守れば問題はありません。
有名なシワ治療のボツリヌストキシン効果
ボツリヌストキシンの名を知らしめたシワ治療で、もう少し詳しく解説しましょう。
シワには原因によっていくつか種類がありますが、ボツリヌストキシンが有効なのは表情筋が収縮することによってできる表情ジワ。原因となっている表情筋の収縮を抑えることで、シワができにくくなるというわけです。
シワ取り以外にどんなことができるの?
筋肉の動きが関係するあらゆる部位で効果を発揮します。
筋肉は全身にあり、その動きや量などは私たちの生理や見た目にとても深くかかわっています。例えば筋肉は使わないと萎縮しますが、エラの筋肉にボツリヌストキシンを注射して働きを抑えると、すっきり小顔に。ふくらはぎなら、ほっそり美脚に。また汗を送り出す筋肉の働きを制限することで分泌を抑えることができ、わきがや多汗症を緩和することが可能となります。筋肉の動きが関係している様々な悩みを、ボツリヌストキシンは解決してくれるのです。
注射1本で、ひと回り大きい垂れ目に
いつの時代も人気がある“垂れ目メイク”。癒し系の優しい目の表情が、人気の秘密です。そしてこちらも昔から変わらない人気なのが、大きくはっきりとした目。この垂れ目と目を大きくするという希望を同時に叶えてくれるのが「ボツリヌストキシン注射(目を下に大きくする、垂れ目形成)」です。


方法も原理も、とても簡単なもの。
目の周りにある眼輪筋というリング状の筋肉、この下まぶたの部分に筋肉の緊張を和らげるたんぱく質を注射。筋肉が弛緩することで下まぶたのラインが下がり、目の面積も広がります。

眼輪筋の緊張を弛緩させて下まぶたのラインを下げるため、施術したこと気づかれにくく自然な垂れ目になります。
ボツリヌストキシン注射(エラ、プチ小顔術)
-
![]()
Before
-
![]()
After(2ヶ月後)
料金
エラボトックス(ボツリヌストキシン注射)
| 1回 | ¥165,000(税込) |
|---|
【全院】
リスク・副作用・合併症について
エラボトックス(ボツリヌストキシン注射)
※施術方法や施術の流れに関しましては、各院・各医師により異なります。予めご了承ください。
※ホームページ上で掲載されている価格は税込表示となっております。
※当院で行う治療行為は保険診療適応外の自由診療になります。
※インバウンドの方の施術料金は通常料金とは異なります。詳しくはお問い合わせ下さい。
注射式シワ取り ボツリヌストキシン注射
-
![]()
Before
-
![]()
After(1週間後)
料金
注射式シワ取り ボツリヌストキシン注射
| 額 | ¥55,000(税込) |
|---|---|
| 眉間 | ¥55,000(税込) |
| 目尻 | ¥55,000(税込) |
| 口周り | ¥55,000(税込) |
| 鼻の根元ジワ | ¥55,000(税込) |
| あごの梅干しジワ | ¥55,000(税込) |
【全院】
リスク・副作用・合併症について
注射式シワ取り ボツリヌストキシン注射
※施術方法や施術の流れに関しましては、各院・各医師により異なります。予めご了承ください。
※ホームページ上で掲載されている価格は税込表示となっております。
※当院で行う治療行為は保険診療適応外の自由診療になります。
※インバウンドの方の施術料金は通常料金とは異なります。詳しくはお問い合わせ下さい。
ボツリヌストキシン注射(ふくらはぎ・足やせ・美脚)
-
![]()
Before
-
![]()
After(2ヶ月後)
料金
ボツリヌストキシン注射(ふくらはぎ・足やせ・美脚)
| ¥220,000(税込) |
【全院】
※施術方法や施術の流れに関しましては、各院・各医師により異なります。予めご了承ください。
※ホームページ上で掲載されている価格は税込表示となっております。
※当院で行う治療行為は保険診療適応外の自由診療になります。
※インバウンドの方の施術料金は通常料金とは異なります。詳しくはお問い合わせ下さい。
ボツリヌストキシン注射(美人肩)
-
![]()
Before
-
![]()
After(注射後2ヶ月後)
料金
ボツリヌストキシン注射(美人肩)
| ¥165,000(税込) |
【全院】
※施術方法や施術の流れに関しましては、各院・各医師により異なります。予めご了承ください。
※ホームページ上で掲載されている価格は税込表示となっております。
※当院で行う治療行為は保険診療適応外の自由診療になります。
※インバウンドの方の施術料金は通常料金とは異なります。詳しくはお問い合わせ下さい。
ボツリヌストキシン注射(ガミースマイル修正)
-
![]()
Before
-
![]()
After
料金
ボツリヌストキシン注射(ガミースマイル修正)
| ¥55,000(税込) |
【全院】
※施術方法や施術の流れに関しましては、各院・各医師により異なります。予めご了承ください。
※ホームページ上で掲載されている価格は税込表示となっております。
※当院で行う治療行為は保険診療適応外の自由診療になります。
※インバウンドの方の施術料金は通常料金とは異なります。詳しくはお問い合わせ下さい。
ボツリヌストキシン注射(口角を上げる)
-
![]()
Before
-
![]()
After(1週間後)
料金
口角ボトックス(ボツリヌストキシン注射)
| ¥55,000(税込) |
【全院】
※施術方法や施術の流れに関しましては、各院・各医師により異なります。予めご了承ください。
※ホームページ上で掲載されている価格は税込表示となっております。
※当院で行う治療行為は保険診療適応外の自由診療になります。
※インバウンドの方の施術料金は通常料金とは異なります。詳しくはお問い合わせ下さい。
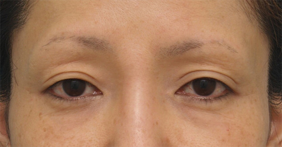
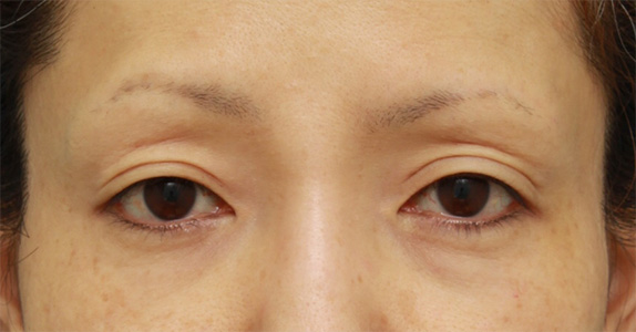
ボツリヌストキシン注射(目を下に大きくする、垂れ目形成)
-
![]()
Before
-
![]()
After(1週間後)
料金
ボツリヌストキシン注射(目を下に大きくする、垂れ目形成)
| 両目 | ¥55,000(税込) |
|---|
【全院】
※施術方法や施術の流れに関しましては、各院・各医師により異なります。予めご了承ください。
※ホームページ上で掲載されている価格は税込表示となっております。
※当院で行う治療行為は保険診療適応外の自由診療になります。
※インバウンドの方の施術料金は通常料金とは異なります。詳しくはお問い合わせ下さい。
施術部位や個人差もありますが、効果をはっきり自覚できるのは概ね半年から1年。そして繰り返し注射を打つことによって、効果が高まったり持続期間が長くなることが多くなります。これは、筋肉は使わないと機能が低下していくため。数回繰り返すと、元の悩みがほとんど気にならなくなったという方もかなり出てきます。
どこで受けても効果などは同じ?
品質や使い方が、結果を大きく左右します。
注射で終了するボツリヌストキシンは、どこでやっても同じだから安いところがお得。と考えていませんか?シンプルな施術だからこそ、想像以上に大きな違いが出てきます。
ボツリヌストキシンの品質による違い

当院で使用している質の良いボツリヌストキシン
ボツリヌストキシンには米国製、英国製、中国製、東南アジア製など様々なものがあり、持続性など微妙に異なるといわれています。また仕入ルートや管理体制などの影響も受けます。例えば使用期限が切れていたり、使用期限内でも管理が悪いと、効果にも疑問が出てきます。実は使用期限の切れたボツリヌストキシンは、正規ルートではないブラックマーケットで非常に安い価格で出回っています。そして効果に大きく影響するのが、使用する濃度と量。薄めて使うと原価は安くなりますが、当然効果は出にくく持続期間も短くなります。
医師の知識や技術による違い
ボツリヌストキシン注射をすると、顔が引きつったり、表情が固まってしまうのでは?という心配をされる方がいます。これは、正しい使い方をしていない場合に起こること。一番多いトラブルは、医師の知識不足によって本来は注射してはいけないケースに行った場合です。例えばまぶたのたるみや眼瞼下垂(まぶたの開きが悪い状態)の人は眉毛を上げて目を開けようとするクセがあります。このためにできている額のシワにボツリヌストキシンを注射すると、シワは目立たなくなっても眉毛が下がって目が細くなったり目つきが悪くなったりするほか、額が重たく感じてしまうことがあります。また、ほうれい線をつくる筋肉に注射すると、笑った時の表情が不自然になってしまいます。
もうひとつ重要なのが、抑えたい筋肉にピンポイントに適量を注射する技術力。狙いが外れれば、思ったような効果を出すことはできません。医師が未熟であれば、注射治療で心配される内出血といったリスクも高まってしまいます。
高須クリニックの場合
質の良いボツリヌストキシンを正しい量で正しく使えば、満足な結果に
きれいになりたい、若々しくなりたい気持ちを、注射で実現してくれるボツリヌストキシン。さらには、わきが・多汗症といったデリケートな悩み、肩こりなどの身体の不調にまで応えてくれる治療です。
あなたの願いを確かに叶えるために、当院では質のよいボツリヌストキシンを採用し、高濃度で使用しています。そして、確かな知識と技術をもった医師が適切な部位に、適量を丁寧に注射しています。
高須クリニックなら
あなたのイメージ通りに!
当サイトは高須クリニック在籍医師の監修のもとで掲載しております。













