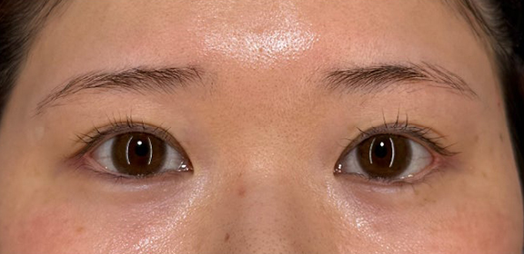
眼瞼下垂手術+目頭切開+目尻切開+グラマラスラインを行った20代女性症例写真
対象クリニックアイコンの凡例
- 銀
- :銀座高須クリニック
- 横
- :横浜院
- 名
- :名古屋院
- 栄
- :栄院
- 大
- :大阪院
- 全院
- :全院
- 年代 / 性別
- 20代 / 女性
- 診療科目
- 目頭切開 / 目尻切開 / 眼瞼下垂(がんけんかすい) / 垂れ目(パンダ目)形成(グラマラスライン/下眼瞼下制術)
Before
After(2ヶ月後)
料金
| 眼瞼下垂(がんけんかすい) | 片目(通常の手術の場合) ¥385,000(税込) |
|
| 両目(通常の手術の場合) ¥770,000(税込) |
|
|
| 片目(筋膜移植の場合) ¥605,000(税込) |
|
|
| 両目(筋膜移植の場合) ¥990,000(税込) |
全院 |
| 目頭切開 | 片目 ¥148,500(税込) |
|
| 両目 ¥275,000(税込) |
|
|
| 高須幹弥医師の場合 片目 ¥192,500(税込) |
|
|
| 高須幹弥医師の場合 両目 ¥385,000(税込) |
全院 |
| 目尻切開 | 片目 ¥148,500(税込) |
|
| 両目 ¥275,000(税込) |
|
|
| 高須幹弥医師の場合 片目 ¥192,500(税込) |
|
|
| 高須幹弥医師の場合 両目 ¥385,000(税込) |
全院 |
| 垂れ目(パンダ目)形成(グラマラスライン/下眼瞼下制術) | 片目 ¥148,500(税込) |
|
| 両目 ¥275,000(税込) |
|
|
| 高須幹弥医師の場合 片目 ¥192,500(税込) |
|
|
| 高須幹弥医師の場合 両目 ¥385,000(税込) |
銀座 横浜 名古屋 大阪 |
リスク・副作用・合併症
眼瞼下垂(がんけんかすい)
目頭切開
目尻切開
垂れ目(タレ目,パンダ目)形成(グラマラスライン/下眼瞼下制術)
術後の経過
手術前
手術前です。
眼瞼下垂手術+目頭切開+目尻切開+グラマラスライン(垂れ目形成手術)を行うことになりました。
手術直後
手術直後です。
6日後
6日後です。
2ヶ月後
2ヶ月後です。
この症例と同じ診療科目の
症例写真はこちら
目頭切開
20代女性の患者様で、目頭切開を希望されていました。
この患者様は、以前に二重まぶた全切開法で平行型二重を作っていましたが、やや蒙古襞が発達しており、目と目の間隔が広めでした。
目と目が離れているため、どことなく子供っぽい印象だったので、目頭切開をして、蒙古襞のつっぱりを解除し、目を内側に広げ、平行型二重を際立たせることになりました。
手術はZ法に準じて行い、目頭が斜め下方向に尖った形をキープしつつ、内側に1.5mmずつ目が大きくなるようにしました。
術後は程よく目が内側に大きくなったことにより、子供っぽい印象から大人っぽい印象になりました。
また、目頭切開をしたことにより、蒙古襞のつっぱりが解除され、目頭側の二重の幅が少し広がり、平行型二重がより際立つようになりました。
料金
| 片目 ¥148,500(税込) |
|
| 両目 ¥275,000(税込) |
|
| 高須幹弥医師の場合 片目 ¥192,500(税込) |
|
| 高須幹弥医師の場合 両目 ¥385,000(税込) |
全院 |
リスク・副作用・合併症
目頭切開
片方のまぶたが二重、もう片方が一重の状態だったのを気にして来院された女性です。元々目と目の間隔が広かったので目頭切開を行い、バランスを調整しました。その結果、バランスのとれた目元になりました。
大人っぽい美しい目の比率は、目→目と目の間→目の横幅の比率が、1対1対1といわれています。このバランスを整えるために目頭から上まぶたにかけてかぶさっている皮膚(蒙古ひだ)を切開し、目の横幅を広げます。そうすることで、ひと回り大きな切れ長の目になると同時に目の幅も広がり、黒目がはっきりと強調されます。
料金
| 片目 ¥148,500(税込) |
|
| 両目 ¥275,000(税込) |
|
| 高須幹弥医師の場合 片目 ¥192,500(税込) |
|
| 高須幹弥医師の場合 両目 ¥385,000(税込) |
全院 |
リスク・副作用・合併症
目頭切開
目が離れた印象の20代女性。目と目の間隔を整えるために目頭切開を行い、切れ長で大きな目を実現。さらに目の間隔をより整えるために、隆鼻術(シリコンプロテーゼ)を併用し、鼻の根元の低さを解消。目頭切開と隆鼻術(シリコンプロテーゼ)を組み合わせることで、より自然に、バランスよく目を大きく見せることに成功しました。
料金
| 片目 ¥148,500(税込) |
|
| 両目 ¥275,000(税込) |
|
| 高須幹弥医師の場合 片目 ¥192,500(税込) |
|
| 高須幹弥医師の場合 両目 ¥385,000(税込) |
全院 |
| ¥385,000(税込) |
全院 |
リスク・副作用・合併症
目頭切開
隆鼻術(シリコンプロテーゼ)
20代女性の患者様で、二重まぶたの手術や目を大きくする手術などを希望されていました。
診察させていただいたところ、ほぼ完全な一重まぶたで、普段アイプチをやり続けているせいか、まぶたの皮膚が被れて厚くなっていました。
また、全体的に目が小さく、まぶたの開きが悪い上に目の横幅も小さい状態でした。
カウンセリングで患者様とお話しした結果、患者様は幅広平行型二重を希望されていたので、眼瞼下垂手術で幅広平行型二重を作り、同時に目頭切開と目尻切開を行い、目の横幅も内側と外側に広げることになりました。
元々やや目の上が窪み気味であったため、眼瞼下垂手術では眼窩内脂肪やROOFは切除しませんでした。
目頭切開はZ法で2mm弱ずつ程度内側に広げ、目尻切開は自然な範囲内で最大限約1.5mmずつ程度外側に広げました。
手術後は患者様の希望されていた幅広平行型二重になり、眼瞼下垂手術と目頭切開と目尻切開により目全体が一回り大きくなりました。
料金
| 片目(通常の手術の場合) ¥385,000(税込) |
|
| 両目(通常の手術の場合) ¥770,000(税込) |
|
| 片目(筋膜移植の場合) ¥605,000(税込) |
|
| 両目(筋膜移植の場合) ¥990,000(税込) |
全院 |
| 片目 ¥148,500(税込) |
|
| 両目 ¥275,000(税込) |
|
| 高須幹弥医師の場合 片目 ¥192,500(税込) |
|
| 高須幹弥医師の場合 両目 ¥385,000(税込) |
全院 |
| 片目 ¥148,500(税込) |
|
| 両目 ¥275,000(税込) |
|
| 高須幹弥医師の場合 片目 ¥192,500(税込) |
|
| 高須幹弥医師の場合 両目 ¥385,000(税込) |
全院 |
リスク・副作用・合併症
眼瞼下垂(がんけんかすい)
目頭切開
目尻切開
目頭切開のZ法で、ひと回り目を大きくしました。蒙古ひだを切開することで末広タイプだった二重の幅が広がり、華やかな平行タイプに。
小さいうえに離れていた目が大きく丸くなり、目もと全体のバランスも美しく整いました。
料金
| 片目 ¥148,500(税込) |
|
| 両目 ¥275,000(税込) |
|
| 高須幹弥医師の場合 片目 ¥192,500(税込) |
|
| 高須幹弥医師の場合 両目 ¥385,000(税込) |
全院 |
リスク・副作用・合併症
目頭切開
目尻切開
20代女性の患者様で、目元のご相談で来院されました。
幅広い二重にしたいということと、目を大きくしたいというご要望でした。
診察させていただいたところ、わずかな幅の非対称はあるものの、綺麗な二重まぶたをしてらっしゃいました。
蒙古襞の張りが少なく、それなりに幅のある二重だったので、平行型二重をしてらっしゃいました。
患者様はもっと幅の広い二重にしたいというご要望だったので、二重まぶたを全切開法で幅を広げることになりました。
目を大きくする目的で、目尻切開とタレ目形成(グラマラスライン)も同時に行うことになりました。
二重まぶた全切開法は、皮膚切除は行わず、平行型のまま二重の幅を広げるのみにし、眼窩内脂肪やROOFの切除も行いませんでした。
目尻切開は約2mmずつ外側に広げることができ、タレ目形成は下まぶたの黒目の外側の部分を約2mm下げることができました。
術後は幅広平行型二重になり、目が大きくもなりました。
料金
| 片目 ¥148,500(税込) |
|
| 両目 ¥275,000(税込) |
|
| 高須幹弥医師の場合 片目 ¥192,500(税込) |
|
| 高須幹弥医師の場合 両目 ¥385,000(税込) |
全院 |
脂肪切除をする場合や埋没法の糸を抜去する場合の費用も含まれております。
| 片目 ¥148,500(税込) |
|
| 両目 ¥275,000(税込) |
|
| 高須幹弥医師の場合 片目 ¥192,500(税込) |
|
| 高須幹弥医師の場合 両目 ¥385,000(税込) |
全院 |
| 片目 ¥148,500(税込) |
|
| 両目 ¥275,000(税込) |
|
| 高須幹弥医師の場合 片目 ¥192,500(税込) |
|
| 高須幹弥医師の場合 両目 ¥385,000(税込) |
銀座 横浜 名古屋 大阪 |
リスク・副作用・合併症
二重まぶた・ミニ切開法(部分切開)
目尻切開
垂れ目(タレ目,パンダ目)形成(グラマラスライン/下眼瞼下制術)
20代女性の患者様で、目を大きくしたいというご要望でした。
この患者様は、半年以上前に私が眼瞼下垂手術を行っていました。
眼瞼下垂手術によって、まぶたの開きが良くなり、二重のラインも作ったため、だいぶ目が大きくなったのですが、更に大きくしたいというご要望でした。
これ以上眼瞼下垂手術でまぶたの開きを良くして目を上に大きくしてしまうと、ビックリ目になったり、上三白眼になって、キツい目になってしまいます。
また、二重の幅をこれ以上広げると、二重のラインの下の皮膚がまつ毛の生え際に被さり、かえって黒目の見える面積が小さくなってしまう可能性があります。
そのため、自然な範囲内でこれ以上目を大きくするためには、
・目頭切開で目を内側に広げる
・目尻切開で目を外側に広げる
・タレ目形成(グラマラスライン)で下まぶたの黒目の外側の部分を下に広げる
の3つの方法しかありません。
患者様のご要望もあり、目尻切開とタレ目形成をすることになりました。
目尻切開はWの字切開で最大限広げ、約1.5mm外側に広がりました。
タレ目形成は皮膚側からアプローチし、下まぶたの黒目の外側の部分を約2mmずつ下に下げ、余った下まぶたの皮膚を切除して縫合しました。
術後は、目が外側と下側に適度に大きくなり、自然で華やかな目になりました。
目尻切開とタレ目形成を同時に行うと、それぞれの効果がお互いに相乗効果を生み、より大きな効果になります。
料金
| 片目 ¥148,500(税込) |
|
| 両目 ¥275,000(税込) |
|
| 高須幹弥医師の場合 片目 ¥192,500(税込) |
|
| 高須幹弥医師の場合 両目 ¥385,000(税込) |
全院 |
| 片目 ¥148,500(税込) |
|
| 両目 ¥275,000(税込) |
|
| 高須幹弥医師の場合 片目 ¥192,500(税込) |
|
| 高須幹弥医師の場合 両目 ¥385,000(税込) |
銀座 横浜 名古屋 大阪 |
リスク・副作用・合併症
目尻切開
垂れ目(タレ目,パンダ目)形成(グラマラスライン/下眼瞼下制術)
美容外科がポピュラーになるにつれて患者さんの要求が、細かくマニアックになってくるのを感じます。
このようなご要望をいただくことが多くありました。
①睫毛のキワを見せてほしい
②ハム目にならないようにしてほしい
③目尻側または目頭側もしっかり食い込むようにしてほしい
この患者様も、目を丸く見えるようにしてほしい、眉毛と目の間を狭くしてほしい。自然に目を大きくしてほしいと言った要望がありました。
対して行った施術は「眼瞼下垂手術で目力を上げることで丸い目にする+目頭、目尻切開で横幅を広げる+眉下切開で目と眉毛の間を近づける」です。
Before/After写真を見ていただくと分かるように、良い変化が出ました。
黒目の左右差が整い、目が丸く大きくなりました。
右目はやや睫毛のかぶりがあるので今後睫毛上皮膚切除で修正をするかもしれません。
料金
| 片目(通常の手術の場合) ¥385,000(税込) |
|
| 両目(通常の手術の場合) ¥770,000(税込) |
|
| 片目(筋膜移植の場合) ¥605,000(税込) |
|
| 両目(筋膜移植の場合) ¥990,000(税込) |
全院 |
| 片目 ¥148,500(税込) |
|
| 両目 ¥275,000(税込) |
|
| 高須幹弥医師の場合 片目 ¥192,500(税込) |
|
| 高須幹弥医師の場合 両目 ¥385,000(税込) |
全院 |
| 片目 ¥148,500(税込) |
|
| 両目 ¥275,000(税込) |
|
| 高須幹弥医師の場合 片目 ¥192,500(税込) |
|
| 高須幹弥医師の場合 両目 ¥385,000(税込) |
全院 |
| 片目 ¥192,500(税込) |
|
| 両目 ¥385,000(税込) |
全院 |
リスク・副作用・合併症
眼瞼下垂(がんけんかすい)
目頭切開
目尻切開
眉下リフト(上眼瞼リフト)
料金
| 片目 ¥148,500(税込) |
|
| 両目 ¥275,000(税込) |
|
| 高須幹弥医師の場合 片目 ¥192,500(税込) |
|
| 高須幹弥医師の場合 両目 ¥385,000(税込) |
全院 |
脂肪切除をする場合や埋没法の糸を抜去する場合の費用も含まれております。
| 片目 ¥148,500(税込) |
|
| 両目 ¥275,000(税込) |
|
| 高須幹弥医師の場合 片目 ¥192,500(税込) |
|
| 高須幹弥医師の場合 両目 ¥385,000(税込) |
全院 |
| 片目 ¥148,500(税込) |
|
| 両目 ¥275,000(税込) |
|
| 高須幹弥医師の場合 片目 ¥192,500(税込) |
|
| 高須幹弥医師の場合 両目 ¥385,000(税込) |
全院 |
リスク・副作用・合併症
二重まぶた・全切開法
目頭切開
目尻切開
この方は、目をすっきり大きく見せたいとのご希望がありました。
術前の状態は、上まぶたのたるみがあり二重に被さっています。
そして、そのために眉毛を挙上しています。
また、下まぶたにはヒアルロン酸注入による涙袋を認めますが、量が多いため下まぶたが上にせりあがっている状態で目を小さく見せています。
改善方法としては、上まぶたのたるみを取り、二重の幅が見える状態にします。
そのことで眉毛が上がっていることも改善します。
さらに、ヒアルロニダーゼでヒアルロン酸を溶かした上で、たれ目形成を行い、下まぶたがせりあがっている状態を改善します。
黒目より外側の白目の露出を多くするために目尻切開も追加しています。
術後、目の周りは自然に大きくすっきりした状態に改善しました。
料金
| 片目 ¥192,500(税込) |
|
| 両目 ¥385,000(税込) |
全院 |
| 片目 ¥148,500(税込) |
|
| 両目 ¥275,000(税込) |
|
| 高須幹弥医師の場合 片目 ¥192,500(税込) |
|
| 高須幹弥医師の場合 両目 ¥385,000(税込) |
全院 |
| 片目 ¥148,500(税込) |
|
| 両目 ¥275,000(税込) |
|
| 高須幹弥医師の場合 片目 ¥192,500(税込) |
|
| 高須幹弥医師の場合 両目 ¥385,000(税込) |
銀座 横浜 名古屋 大阪 |
リスク・副作用・合併症
上まぶたたるみ取り
目尻切開
垂れ目(タレ目,パンダ目)形成(グラマラスライン/下眼瞼下制術)
眼瞼下垂(がんけんかすい)
眼瞼下垂には、生まれつき目の開きが悪い先天性眼瞼下垂と、コンタクトレンズの長期装用や老化などに伴う後天性眼瞼下垂があります。
この方は左目のみが生まれつき開きが悪い先天性眼瞼下垂でした。
先天性眼瞼下垂は、まぶたを開ける筋肉である上眼瞼挙筋の機能が弱いために目の開きが悪いので、ある程度筋肉の機能がある方は挙筋前転術で筋肉を短縮させてまぶたが開くようにしますが、筋肉の機能がほとんどない方は、側頭部や大腿から筋膜を移植して眉毛を上げる力によってまぶたが開くように手術します。
この方はある程度、眼瞼挙筋の機能があったので、左目の挙筋前転術を行い、同時に末広型の二重をつくり、それに合わせて右目はミニ切開法で末広型二重をつくりました。
片目の先天性眼瞼下垂の場合は反対の目と全く同じように開けてあげることは不可能なので、左目を右目と同じように大きく開けてあげることはできなかったのですが、術前に比べてかなり左右対称になったと思います。
料金
| 片目 ¥148,500(税込) |
|
| 両目 ¥275,000(税込) |
|
| 高須幹弥医師の場合 片目 ¥192,500(税込) |
|
| 高須幹弥医師の場合 両目 ¥385,000(税込) |
全院 |
脂肪切除をする場合や埋没法の糸を抜去する場合の費用も含まれております。
| 片目(通常の手術の場合) ¥385,000(税込) |
|
| 両目(通常の手術の場合) ¥770,000(税込) |
|
| 片目(筋膜移植の場合) ¥605,000(税込) |
|
| 両目(筋膜移植の場合) ¥990,000(税込) |
全院 |
リスク・副作用・合併症
二重まぶた・ミニ切開法(部分切開)
眼瞼下垂(がんけんかすい)
眼瞼下垂のため、まぶたが重そうな20代女性。目をしっかりと開けられないため、二重のラインもはっきりしません。眼瞼下垂の手術を行うことで、パッチリ大きな目に。黒目が目立つ、20代の女性らしいかわいらしい目もとになりました。
料金
| 片目(通常の手術の場合) ¥385,000(税込) |
|
| 両目(通常の手術の場合) ¥770,000(税込) |
|
| 片目(筋膜移植の場合) ¥605,000(税込) |
|
| 両目(筋膜移植の場合) ¥990,000(税込) |
全院 |
リスク・副作用・合併症
眼瞼下垂(がんけんかすい)
20代女性の患者様で、全体的に目が小さいのが悩みで、目を一回り大きくしたいという御要望でした。
一重まぶたでまぶたの開きが悪い上に、蒙古襞が発達して、目と目が離れていたので、眼瞼下垂手術と目頭切開をすることになりました。
眼瞼下垂手術は、目を閉じた状態で約6mmの位置で切開し、挙筋腱膜を前転し、瞼板に固定しました。
眼窩内脂肪はわずかに切除しましたが、ROOFは切除していません。
皮膚切除もしていません。
目頭切開は完全に蒙古襞がなくならないように、Z法で内側に約2mmずつ広がるようにしました。
術後は狭い末広型の二重になって、まぶたの開きが大きくなり、広かった目と目の間隔のバランスが良くなりました。
まぶたの開きを良くして、自然に目を大きく見せたい場合は、この症例のように狭い二重にするほうが良いです。
無理して幅広い二重を作って眼瞼下垂手術をすると、まぶたの開きは良くなっても、まつ毛の生え際に皮膚が被さってしまい、あまり目が大きく見えなくなることがあります。
料金
| 片目(通常の手術の場合) ¥385,000(税込) |
|
| 両目(通常の手術の場合) ¥770,000(税込) |
|
| 片目(筋膜移植の場合) ¥605,000(税込) |
|
| 両目(筋膜移植の場合) ¥990,000(税込) |
全院 |
| 片目 ¥148,500(税込) |
|
| 両目 ¥275,000(税込) |
|
| 高須幹弥医師の場合 片目 ¥192,500(税込) |
|
| 高須幹弥医師の場合 両目 ¥385,000(税込) |
全院 |
リスク・副作用・合併症
眼瞼下垂(がんけんかすい)
目頭切開
細い目や眠たそうな目は眼瞼下垂の手術で大きく開くようにする治療しました。この患者様の場合、全体的にまぶたが目にかぶさっていて、特に右目はほとんど開いていない状態でした。眼瞼下垂の手術は、その弱まった上まぶたの眼瞼挙筋を縫い縮めることでまぶたの開く力を強化し、目の縦の幅を広げます。この患者様の場合、開けにくかった目が上下に開いて二重の形もきれいになりました。眼瞼下垂によるまぶたのたるみや開きにくさは眼精疲労や頭痛、肩こりなどの原因になる場合もあるため、注意が必要です。
料金
| 片目(通常の手術の場合) ¥385,000(税込) |
|
| 両目(通常の手術の場合) ¥770,000(税込) |
|
| 片目(筋膜移植の場合) ¥605,000(税込) |
|
| 両目(筋膜移植の場合) ¥990,000(税込) |
全院 |
リスク・副作用・合併症
眼瞼下垂(がんけんかすい)
20代女性の患者様でツリ目を改善させて目を大きくしたいというご要望でした。
診察させていただいたところ、過去に二重まぶた全切開法と目頭切開を受けており、平行型二重になっていましたが、目頭側の開きが悪いせいもあって、ツリ目気味になっていました。
眼瞼下垂手術を行い、特に目頭側の開きを良くし、ツリ目を改善させつつ全体的に目を大きくすることになりました。
手術は局所麻酔下に行い、挙筋前転させ、目頭側を強めに開くように瞼板に固定しました。
手術後はツリ目が改善し、全体的に目が大きくなり、華やかな印象になりました。
料金
| 片目(通常の手術の場合) ¥385,000(税込) |
|
| 両目(通常の手術の場合) ¥770,000(税込) |
|
| 片目(筋膜移植の場合) ¥605,000(税込) |
|
| 両目(筋膜移植の場合) ¥990,000(税込) |
全院 |
リスク・副作用・合併症
眼瞼下垂(がんけんかすい)
垂れ目(パンダ目)形成(グラマラスライン/下眼瞼下制術)
20代女性の患者様で、つり目で目がややキツく見られるのが悩みでした。
また、目が小さいのも悩んでいらっしゃいました。
この方は、目と目の間隔がそれほど広くないため、目頭切開をすると、キツい目が強調されてしまうことがあるので、目尻切開で目を外側に広げ、同時にたれ目形成をすることになりました。
目尻切開はだいたい1.5mmくらい広げるのが限界なので、MAXまで広げ、たれ目形成は、外反(あかんべーの状態)しないように、約2mm下まぶたの外側を下げました。
たれ目形成と目尻切開を同時に行うと、たれ目形成を単独で行った場合に比べ、たれ目効果が大きくなります。
術後は目が一回り大きくなり、優しい印象の目になりました。
料金
| 片目 ¥148,500(税込) |
|
| 両目 ¥275,000(税込) |
|
| 高須幹弥医師の場合 片目 ¥192,500(税込) |
|
| 高須幹弥医師の場合 両目 ¥385,000(税込) |
銀座 横浜 名古屋 大阪 |
| 片目 ¥148,500(税込) |
|
| 両目 ¥275,000(税込) |
|
| 高須幹弥医師の場合 片目 ¥192,500(税込) |
|
| 高須幹弥医師の場合 両目 ¥385,000(税込) |
全院 |
リスク・副作用・合併症
垂れ目(タレ目,パンダ目)形成(グラマラスライン/下眼瞼下制術)
目尻切開
20代女性の患者様で、タレ目形成(グラマラスライン)手術を希望されて来院されました。
診察させていただいたところ、下まぶたのラインのカーブの外側への上がり方がやや急な、つり目が強調された目をしていました。
また、黒目の下の白目が見えている下三白眼でした。
下三白眼は、「犯罪者の目」とも呼ばれ、一般的に陰気で、あまりよくない印象の目です。
稀に女優さんなどで、下三白眼でエキゾチックな魅力な人もいますが、そのような人は、それ以外のパーツやスタイルなどを含め、全体的に奇跡的なバランスで魅力がある場合がほとんどです。
そのため、これ以上下三白眼が悪化しないように、黒目の真下は下げず、黒目の外側のみを下げるように手術することになりました。
手術後は、下三白眼が悪化することなく、黒目の外側が程よく下がり、綺麗なグラマラスラインになりました。
また、つり目が適度に改善して、優しい印象の大きな目にもなりました。
料金
| 片目 ¥148,500(税込) |
|
| 両目 ¥275,000(税込) |
|
| 高須幹弥医師の場合 片目 ¥192,500(税込) |
|
| 高須幹弥医師の場合 両目 ¥385,000(税込) |
銀座 横浜 名古屋 大阪 |
リスク・副作用・合併症
垂れ目(タレ目,パンダ目)形成(グラマラスライン/下眼瞼下制術)
タレ目形成と、目尻切開の症例のご紹介です。
目を目尻切開とタレ目で大きくしたいとのご要望でした。
タレ目手術は結膜側から行っています。
斜めの角度から見ても、自然に可愛く目が大きくなっているのがわかるでしょうか。
目尻の形を比べると目尻切開の効果もよくわかりますね。
タレ目の手術で心掛けているのは、カクッとした、一部分だけ不自然な垂れ目にしないということです。
垂れ具合をうまくコントロールできないと、丸くて美しいグラマラスラインは作れないのです。
ぱっと見では、どこを手術したか分からなくてもなんとなく目が大きく見える。
そのような印象が出るのが大切だと思っています。
料金
| 片目 ¥148,500(税込) |
|
| 両目 ¥275,000(税込) |
|
| 高須幹弥医師の場合 片目 ¥192,500(税込) |
|
| 高須幹弥医師の場合 両目 ¥385,000(税込) |
銀座 横浜 名古屋 大阪 |
| 片目 ¥148,500(税込) |
|
| 両目 ¥275,000(税込) |
|
| 高須幹弥医師の場合 片目 ¥192,500(税込) |
|
| 高須幹弥医師の場合 両目 ¥385,000(税込) |
全院 |
リスク・副作用・合併症
垂れ目(タレ目,パンダ目)形成(グラマラスライン/下眼瞼下制術)
目尻切開
20代女性の患者様で、二重まぶたにすることとつり目を解消して目を大きくしたいというご要望でした。
診察させていただいたところ、まぶたが分厚くほぼ一重まぶたで、目の横幅が小さい上にキツいつり目の状態でした。
カウンセリングで患者様とお話したところ、二重まぶた全切開法と目尻切開とたれ目形成(グラマラスライン)をすることになりました。
二重まぶた全切開法はハム目にならない範囲内で自然な二重幅で作成し、余分な脂肪を程よく切除しました。
目尻切開とたれ目形成は安全で自然な範囲内で目を広げて大きくしました。
手術後6ヶ月には自然な二重になって、つり目も程よく解消しました。
料金
| 片目 ¥148,500(税込) |
|
| 両目 ¥275,000(税込) |
|
| 高須幹弥医師の場合 片目 ¥192,500(税込) |
|
| 高須幹弥医師の場合 両目 ¥385,000(税込) |
全院 |
脂肪切除をする場合や埋没法の糸を抜去する場合の費用も含まれております。
| 片目 ¥148,500(税込) |
|
| 両目 ¥275,000(税込) |
|
| 高須幹弥医師の場合 片目 ¥192,500(税込) |
|
| 高須幹弥医師の場合 両目 ¥385,000(税込) |
全院 |
| 片目 ¥148,500(税込) |
|
| 両目 ¥275,000(税込) |
|
| 高須幹弥医師の場合 片目 ¥192,500(税込) |
|
| 高須幹弥医師の場合 両目 ¥385,000(税込) |
銀座 横浜 名古屋 大阪 |
リスク・副作用・合併症
二重まぶた・全切開法
目尻切開
垂れ目(タレ目,パンダ目)形成(グラマラスライン/下眼瞼下制術)
目が細く見えてしまうつり目の女性。もともと二重でしたが、左右差がありました。バランスを見ながら平行型の二重、また目頭切開で目を内側に開き、少し目尻を下げ垂れ目にすることで、目を大きく見せることができました。さらにボツリヌストキシン注射(エラ、プチ小顔術)も行い、小顔効果でさらに目が強調されるようになりました。
料金
| 片目 ¥148,500(税込) |
|
| 両目 ¥275,000(税込) |
|
| 高須幹弥医師の場合 片目 ¥192,500(税込) |
|
| 高須幹弥医師の場合 両目 ¥385,000(税込) |
全院 |
脂肪切除をする場合や埋没法の糸を抜去する場合の費用も含まれております。
| 片目 ¥148,500(税込) |
|
| 両目 ¥275,000(税込) |
|
| 高須幹弥医師の場合 片目 ¥192,500(税込) |
|
| 高須幹弥医師の場合 両目 ¥385,000(税込) |
全院 |
| 片目 ¥148,500(税込) |
|
| 両目 ¥275,000(税込) |
|
| 高須幹弥医師の場合 片目 ¥192,500(税込) |
|
| 高須幹弥医師の場合 両目 ¥385,000(税込) |
銀座 横浜 名古屋 大阪 |
| 1回 ¥165,000(税込) |
全院 |
リスク・副作用・合併症
二重まぶた・ミニ切開法(部分切開)
目頭切開
垂れ目(タレ目,パンダ目)形成(グラマラスライン/下眼瞼下制術)
ボツリヌストキシン注射(エラ、プチ小顔術)
この症例の診療科目
ページはこちら
この施術を見た方は、以下の施術も見ています
※ 施術方法や施術の流れに関しましては、患者様ごとにあわせて執り行いますので、各院・各医師により異なります。予めご了承ください。
※ ホームページ上で掲載されている価格は税込表示となっております。
※ 当院で行う治療行為は保険診療適応外の自由診療になります。
施術方法は200種類以上
どんなお悩みでも
ご相談ください
当サイトは高須クリニック在籍医師の監修のもとで掲載しております。



担当医:高須幹弥 医師
診察させていただいたところ、まぶたの開きが悪く奥二重で、目の横幅もそれほど広くありませんでした。
全体的に目を大きくするために、眼瞼下垂手術+目頭切開+目尻切開+グラマラスライン(垂れ目形成手術)を行うことになりました。
二重のデザインはやや幅広めの平行型二重を希望されていたため、目頭切開をZ法で行い、約1.5mmずつ内側に広げ、残存した蒙古ひだを乗り越えるように幅広めの位置で皮膚切開して眼瞼下垂手術を行い、重瞼線を作成しました。
目頭切開とグラマラスラインは自然で安全な範囲内で最大限広げました。
手術後は目が一回り大きくなり、華やかな印象になりました。