
シミ、シワ、たるみ、毛穴、肌のエイジングケアは「エステサロン」or「美容クリニック」?
シミやシワなどのない、いつまでも若々しい肌を。老化をストップさせたい!若い頃のように戻りたい! 効果的なエイジングケアを目指すとき、あなたが選択すべきなのは、エステサロン?それとも美容クリニック?高須英津子医師が徹底分析し、あなたにはどちらが向いているかを導き出します。
※施術方法や施術の流れに関しましては、各院・各医師により異なります。予めご了承ください。
※ホームページ上で掲載されている価格は税込表示となっております。
※当院で行う治療行為は保険診療適応外の自由診療になります。
※インバウンドの方の施術料金は通常料金とは異なります。詳しくはお問い合わせ下さい。
エステサロンと美容クリニックの基本を比較
医療機関であるか否かで、できることにコレだけの違いがある
エステサロンのメニューはなんとなくイメージができても、美容クリニックではどんなことができるか知っている人は少ないかもしれません。そこでまず、基本的な違いから比較してみました。
| エステサロン | 美容クリニック | |
|---|---|---|
| 主な方法 |
|
|
| 薬剤の使用 | 薬剤は不可 ※化粧品およびサプリメント |
効果の実証された医薬品 |
| 外科的処置 | なし | あり |
| トラブルへの対応 | 冷却や化粧品でのケア | 薬の処方ができる |
一番の違いは、施術方法の種類
エステサロンがマッサージやパックが中心なのに対し、ご覧のように美容クリニックの施術は実に多彩。即効性や明らかな変化を求めるなら、切開手術や糸の挿入、薬剤の注入などはとても魅力的なはずです。でも実際にはメスを使う切開手術、いわゆる整形をするのは勇気が必要ですよね。注射や糸の挿入は、プチ整形といわれて人気なのですが、これらも美容クリニックビギナーにはハードルが高いものなのかもしれません。
似ているように見える機器系で比較
どちらにもあるフォトフェイシャルM22でもかなりの違い。どちらにもあるIPL(インテンシブパルスライト)でもかなりの違い。
エステサロンでも導入しているところが増えているのが「フォトフェイシャルM22IPL(インテンシブパルスライト)」。同じ施術なら、値段の安いエステの方がお得!と思いがちですが、中身にはいろいろな違いがあります。
機器は同じでも効果に差が出る
光の照射による美肌治療器であるフォトフェイシャルM22IPL(インテンシブパルスライト)は、照射の出力によって効果が違ってきます。また、適切な部位に適切な回数の照射をしなければ、本来の効果を発揮できません。
まず機器については、その性能が美容クリニックの方が高いことが多い。同じ機器をしていたとしても、医師という資格をもった施術者が行うので、1回あたりの効果の出方が大きいと考えられます。
エステでもきちんとした技術を持っていれば繰り返し施術を行うことである程度の効果が得られますが、その分通う手間も費用もかかることになります。
もしものトラブルで対処が異なる
フォトフェイシャルM22IPL(インテンシブパルスライト)は肌へのダメージが少ない施術ですが、肌質や体調などによってはゼロとは言い切れません。もしも何らかのトラブルが出てしまった場合、エステでは医療行為はできないため、冷却や化粧品でのみのケアとなります。けれど、クリニックなら薬の処方もできます。
エステは癒し効果が高い
エステのフォトフェイシャルM22IPL(インテンシブパルスライト)メニューは、マッサージやパックなどとセットになっていることが多いようです。これらの美肌効果、そして心地よさは、エステの大きな魅力。特に癒される感覚は、なかなか美容クリニックの施術にはないものです。美肌づくりに加えてひと時のリラクゼーションを求めるなら、エステという選択になるでしょう。
初期老化に有効なマイルドな光を使ってコラーゲンの生成を活性化し、シミ・そばかす、くすみなどの肌悩みを総合的にケアできる治療法。肌へのダメージが少ないため、初心者にもトライしやすい。
あなたはどっち派?
| エステサロン | 美容クリニック |
|---|---|
|
|
もっと知りたいクリニックでのエイジングケアもっと知りたいクリニックでの美年齢
切らないエイジングケアが主流
美容クリニック=整形=切開手術と思っていた方も多いでしょう。けれど現在の主流は切らないエイジングケア。美容クリニック初体験な人にも気軽にトライできる施術が多数あるのです。
美容クリニックビギナーはココから

フォトフェイシャルM22IPL(インテンシブパルスライト)以外にも、目的に合わせて選べる照射系がたくさん。導入系や塗布系には、エステ感覚で受けられるものもあります。数ある施術の中から、美容クリニックビギナーに代表的なものをご紹介します。
| たるみに |
|
|---|---|
| たるみ・シワ・シミに |
|
| シミに |
|
| シワ・毛穴・凹凸に |
|
|---|---|
| シミ・くすみに |
|
| シミに |
|
|---|---|
| くすみ・毛穴に |
|
人気のプチ整形ゾーンへ

| たるみ・シワに |
|
|---|---|
| 表情ジワに |
|
| シミ・シワ・たるみに |
|
| たるみに |
|
|---|---|
| たるみに |
|
比べて歴然。想像以上に効果
プチ整形の代名詞ともなったヒアルロン酸注入によるシワ取りの例です。これはほうれい線への注入ですが、口角からあごにかけてのマリオネットラインや目の下のゴルゴ線など、老け顔を作ってしまう様々な深いシワにも同様の効果を発揮してくれます。
-
![]()
Before
-
![]()
After
料金
シワ取りヒアルロン酸注射
| 1本(1CC) | ¥110,000(税込) |
|---|
【全院】
手の甲ヒアルロン酸注射
| 1回 | ¥330,000(税込) |
|---|
【全院】
リスク・副作用・合併症について
シワ取りヒアルロン酸注射
※施術方法や施術の流れに関しましては、各院・各医師により異なります。予めご了承ください。
※ホームページ上で掲載されている価格は税込表示となっております。
※当院で行う治療行為は保険診療適応外の自由診療になります。
※インバウンドの方の施術料金は通常料金とは異なります。詳しくはお問い合わせ下さい。
ヒアルロン酸注入によるシワ取り部位

施術はとってもスピーディ
- ・クリーム麻酔で注射の痛みを軽減。
- ・注射そのものはたった10分程度で終了。
- ・アイシングした後、即メイクができる。
もっと高須のエイジングケア治療を知りたい方はコチラヘ!
エイジングケア施術一覧
切開手術だっていろいろなレベルあり
部分から広範囲まで、かなり進んでしまったシワ・たるみも
エイジングケア効果が最も高いのは、やはり切開手術。メスを使う、切開というとハードルが高いように感じますが、わずか数cmだけの切開という手術も多くあります。
一番気になる目もとに
こめかみリフト例
-
![]()
Before
-
![]()
After
料金
こめかみリフト
| ¥660,000(税込) |
【銀座高須クリニック、横浜、名古屋、大阪】
リスク・副作用・合併症について
こめかみリフト
※施術方法や施術の流れに関しましては、各院・各医師により異なります。予めご了承ください。
※ホームページ上で掲載されている価格は税込表示となっております。
※当院で行う治療行為は保険診療適応外の自由診療になります。
※インバウンドの方の施術料金は通常料金とは異なります。詳しくはお問い合わせ下さい。
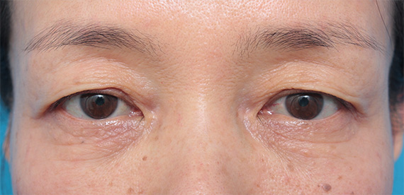
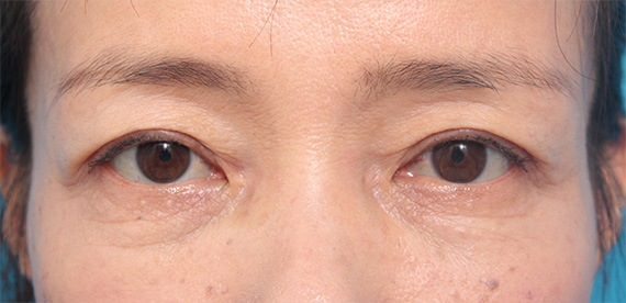
| 上まぶたのたるみ取り |
|
|---|
上まぶたのたるみ取り例
-
![]()
Before
-
![]()
After(3ヶ月後)
料金
上まぶたたるみ取り
| 片目 | ¥192,500(税込) |
|---|---|
| 両目 | ¥385,000(税込) |
【全院】
リスク・副作用・合併症について
上まぶたたるみ取り
※施術方法や施術の流れに関しましては、各院・各医師により異なります。予めご了承ください。
※ホームページ上で掲載されている価格は税込表示となっております。
※当院で行う治療行為は保険診療適応外の自由診療になります。
※インバウンドの方の施術料金は通常料金とは異なります。詳しくはお問い合わせ下さい。
手術跡が見える心配のない治療も
| バッカルファット除去 |
|
|---|
バッカルファット除去例
-
![]()
Before
-
![]()
After(2ヶ月後)
料金
バッカルファット除去
| ¥330,000(税込) |
【全院】
※施術方法や施術の流れに関しましては、各院・各医師により異なります。予めご了承ください。
※ホームページ上で掲載されている価格は税込表示となっております。
※当院で行う治療行為は保険診療適応外の自由診療になります。
※インバウンドの方の施術料金は通常料金とは異なります。詳しくはお問い合わせ下さい。
料金
フェイスリフト(フルフェイスリフト)
| フェイスリフト(フルフェイスリフト) | ¥1,320,000(税込) |
|---|---|
| 高須幹弥医師の場合 フェイスリフト(フルフェイスリフト) | ¥1,540,000(税込) |
【銀座高須クリニック、横浜、名古屋、大阪】
リスク・副作用・合併症について
フェイスリフト(フルフェイスリフト)
※施術方法や施術の流れに関しましては、各院・各医師により異なります。予めご了承ください。
※ホームページ上で掲載されている価格は税込表示となっております。
※当院で行う治療行為は保険診療適応外の自由診療になります。
※インバウンドの方の施術料金は通常料金とは異なります。詳しくはお問い合わせ下さい。
わずか数cmの切開といっても、やはり勇気が出ない人も多いですよね。
けれど、ブルドックのようになってしまったたるみや、深いシワが何本も重なっているような状態は、切開手術以外ではなかなか大きな改善は望めません。
つまり、初期老化のうちに、照射系や注射系などを行っておくことをご検討ください。
STEP1・2でご紹介した施術をいくつか組み合わせて定期的な習慣にしていれば、いつまでも美しい素肌でいられますよ。
エステorクリニック
あなたが求めるエイジングケアって何?あなたが求める美年齢って何?
美容クリニックでの施術の特徴は、はっきりシミ・シワ・たるみなどが改善されて、素肌が蘇った実感がもて、しかもその効果が長く続くことにあります。
エステの場合はどうでしょうか?施術直後の肌の調子は確かにいいかもしれませんが、すぐに元に戻ってしまう。1~2週間間隔くらいで続ければ、良い状態を保ちながら老化を緩やかにしていくこともできるでしょう。けれども、シミやシワなどが改善され、はっきりエイジングケアできている!と実感することは少ないと思います。このため、エステ通いでいろいろ試したけれど満足できず、クリニックにやってくるという方が多いのです。
ぐっとコンディション改善したいか、コンデションキープ&リラクゼーションか。あなたが望むエイジングケアはどちらですか?
もっと高須の痩身術を知りたい方はコチラヘ!
エイジングケア
高須クリニックなら
あなたのイメージ通りに!
当サイトは高須クリニック在籍医師の監修のもとで掲載しております。













