スマイルアイリフト
スマイルアイリフトとは?
スマイルアイリフトは、下まぶたの裏側(粘膜)からレーザーを照射することで、目の下のたるみ、クマ、脂肪の膨らみを切らずに改善する治療です。
皮膚の表面に直接レーザーを当てないため、肌への負担を抑えながら、内側から効率よく引き締めることが可能です。
こんなお悩みありませんか?
- ・目の下がたるんで疲れて見える
- ・クマや影で老けた印象になる
- ・目袋のふくらみが目立ってきた
- ・切る手術や注射には抵抗がある
- ・ダウンタイムはできるだけ避けたい
世界的医療レーザーメーカー
「Fotona社」製フォトナレーザーを使用
スマイルアイリフトでは、1964年に設立されたヨーロッパ屈指の老舗医療用レーザーメーカーFotona(フォトナ)社の医療用レーザー機器を使用しています。
フォトナレーザーは世界中の医療機関で採用されており、米国FDAの承認とEU加盟国CEマークを取得。
高い安全性と確かな効果が評価されています。
痛みが少なく、ダウンタイムほぼなし
下まぶたの裏側(粘膜)からの照射は60~63℃程度の高温でも痛みを感じにくく、肌への負担が最小限です。
施術直後から洗顔・メイクが可能で、ダウンタイムがほとんどないのも魅力です。
スマイルアイリフトのメカニズム
スマイルアイリフトは、粘膜表面から約500ミクロンの深度までレーザーを照射します。
60~63℃の熱刺激により以下のプロセスが起こります。
即時的なコラーゲン収縮(約30%)で、肌を内側から引き締め
ヒートショックプロテイン効果により、コラーゲン生成を促進
血流促進とネオコラーゲン形成で、長期的なハリ・弾力アップ
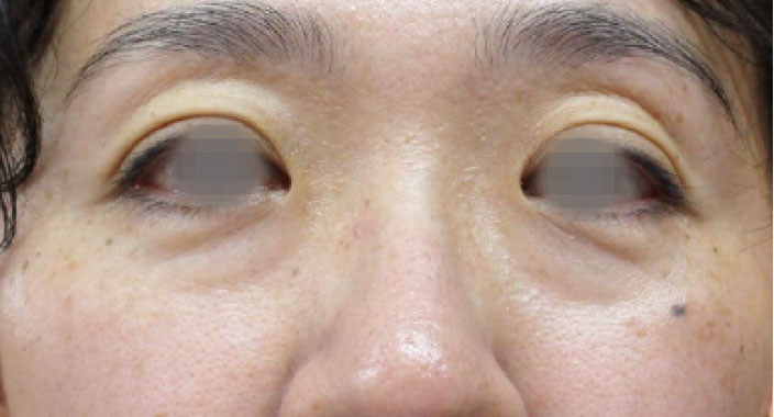
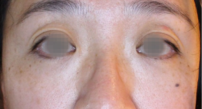
スマイルアイリフトの症例
-
Before
-
After(1回目照射後)
-
-
After(3回目照射後)
スマイルアイリフト目の下のたるみ、クマ、脂肪の膨らみを切らずに改善するレーザー治療
スマイルアイリフト
| 1回(ドクター施術) | ¥110,000(税込) |
|---|---|
| 3回セット(ドクター施術) |
¥264,000(税込) (1回あたり¥88,000(税込)) |
【銀座高須クリニック】
スマイルアイリフト
なぜ、目の下はたるむの?
肌のハリを保つためには、皮膚の真皮層を支えるコラーゲンが重要です。
しかし年齢とともにコラーゲンの産生量は減少し、それに伴ってたるみやシワが生じやすくなります。
さらに、紫外線・喫煙・乾燥・生活習慣などの影響により、これらの変化は進行しやすくなります。
特に目の下は皮膚が非常に薄く、コラーゲンが減少しやすい部位のため、「ハリが失われる」「影ができやすくなる」「脂肪が前に押し出されやすくなる」といった変化が起こり、たるみやクマが目立つ原因となります。
コラーゲンの減少を抑えるために
コラーゲンの減少を緩やかにするためには、健康的な生活習慣を心がけることが大切です。
これらを組み合わせることで、目元の状態を整えやすくなります。
効果を維持するために
スマイルアイリフトは1回の施術でも変化を感じる方が多い治療ですが、より安定した効果を目指す場合は、2~4週間おきに3~5回の治療をご提案しています。
回数を重ねることで、ハリ感の維持、たるみが気になりにくい目元、明るい印象の目元が期待できます。
※効果には個人差があります。
施術料金
スマイルアイリフト
| 1回(ドクター施術) | ¥110,000(税込) |
|---|---|
| 3回セット(ドクター施術) |
¥264,000(税込) (1回あたり¥88,000(税込)) |
【銀座高須クリニック】
※施術方法や施術の流れに関しましては、各院・各医師により異なります。予めご了承ください。
※ホームページ上で掲載されている価格は税込表示となっております。
※当院で行う治療行為は保険診療適応外の自由診療になります。
※インバウンドの方の施術料金は通常料金とは異なります。詳しくはお問い合わせ下さい。
スマイルアイリフト 施術の流れ
当院ではお客様がご納得いくまでカウンセリングを行い、施術後のアフターケアもしっかりとサポートさせていただきます。
スマイルアイリフトの術前・術後の注意事項・アフターケア
| 施術時間 | 約10分(両目) |
|---|---|
| 治療中の痛み | 痛みはほとんどなく、ほんのり温かさを感じる程度です。 |
| ダウンタイム | 赤み・腫れはほとんどありません。 |
| 麻酔 | 点眼麻酔 |
| 洗顔 | 当日より可能 |
| メイク | 当日より可能 |
リスクについては、あくまで起こり得る可能性があるすべての内容について表記しています。実際にはすべてが起こらないようしっかりと対策し、細心の注意を払って施術を行っています。
- 【一時的な乾燥感、ゴロゴロ感】
一時的に乾燥感やゴロゴロ感が出る場合があります(処方する目薬で数日以内に落ち着きます)。
スマイルアイリフト よくあるご質問
この治療法で用いられる医薬品・医療機器は国内においては薬機法上の承認を受けていません。
入手経路等の明示
*承認を受けていない医薬品・医療機器について「個人輸入において注意すべき医薬品等について」のページをご確認ください。
https://www.yakubutsu.mhlw.go.jp/individualimport/health_damage/
この治療法で用いられる医薬品・医療機器を使用し、万が一健康被害があった時、医薬品副作用被害救済制度等の救済の対象になりません。
目元のたるみを解消したい
腫れぼったさを解消したい
この施術を見た方は、以下の施術も見ています
施術方法は200種類以上
どんなお悩みでも
ご相談ください
当サイトは高須クリニック在籍医師の監修のもとで掲載しております。


































